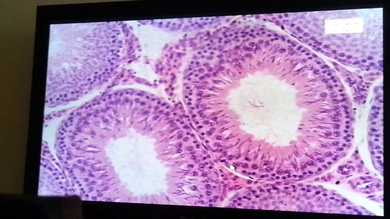
Семенник гистология препарат