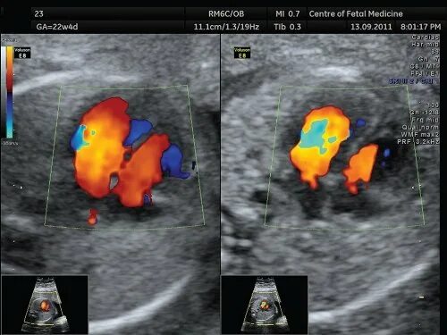
Сердце визуализация затруднена