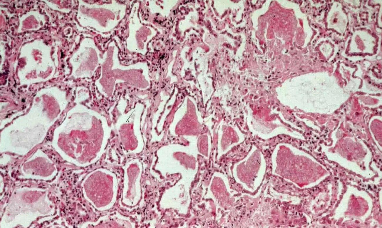
Серозный выпот