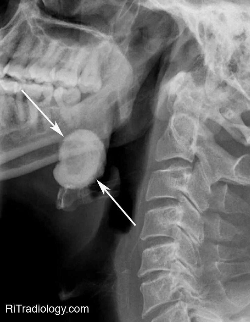
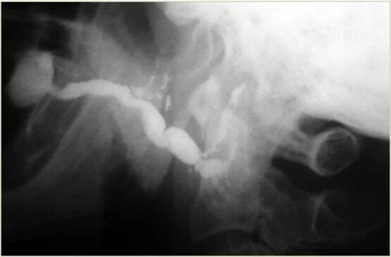
Сиалодохит