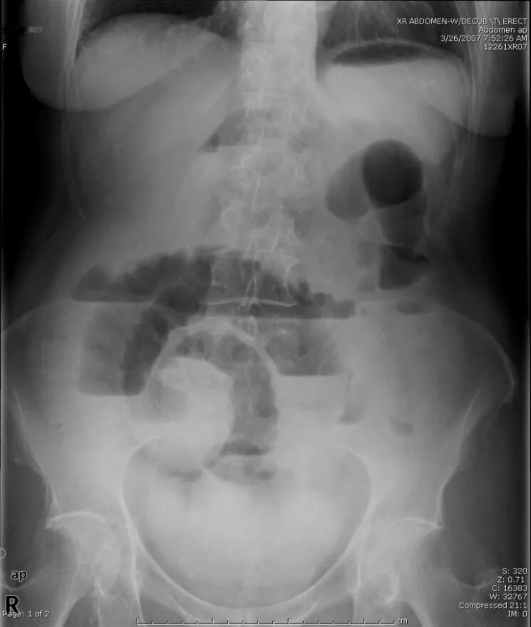
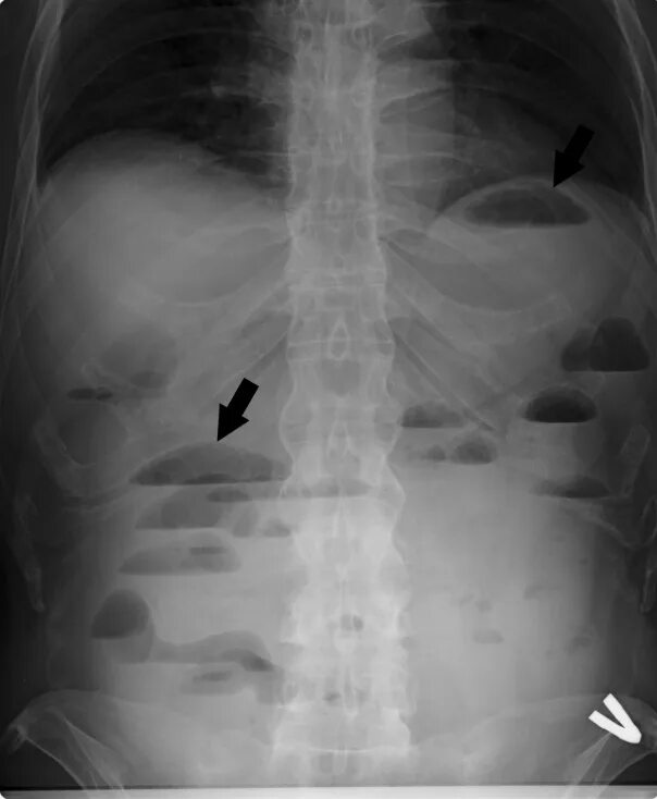
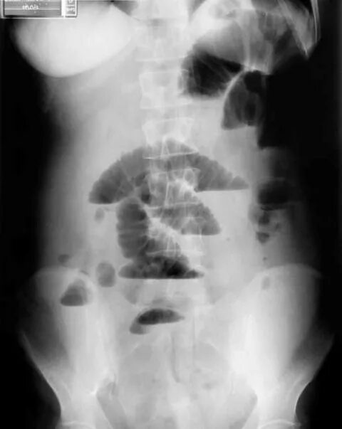
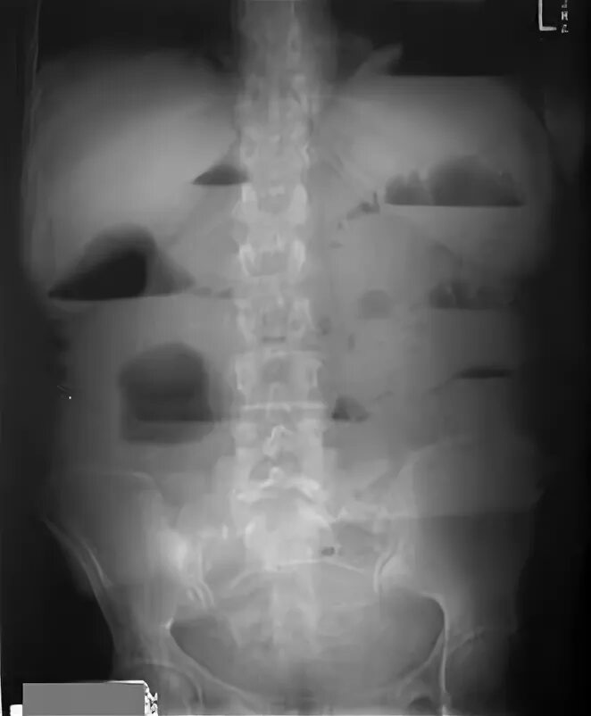
Симптом чаши