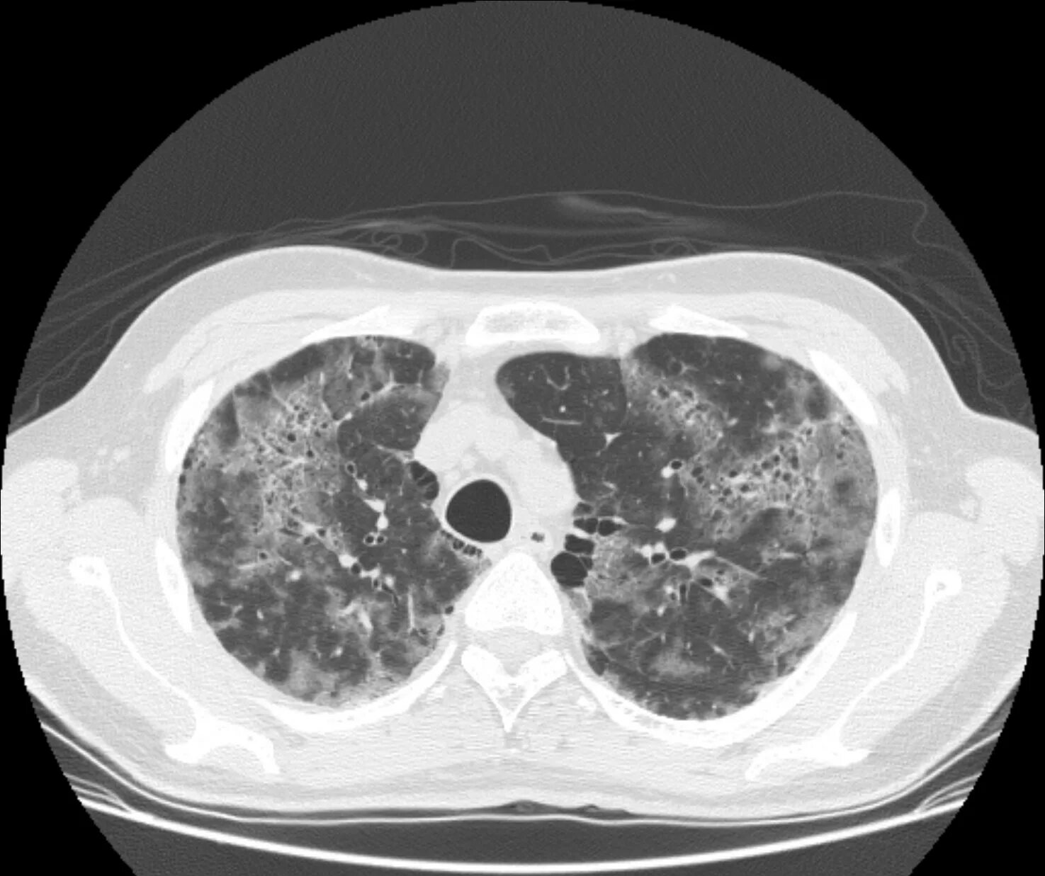
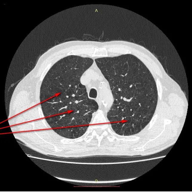
Симптомы кт