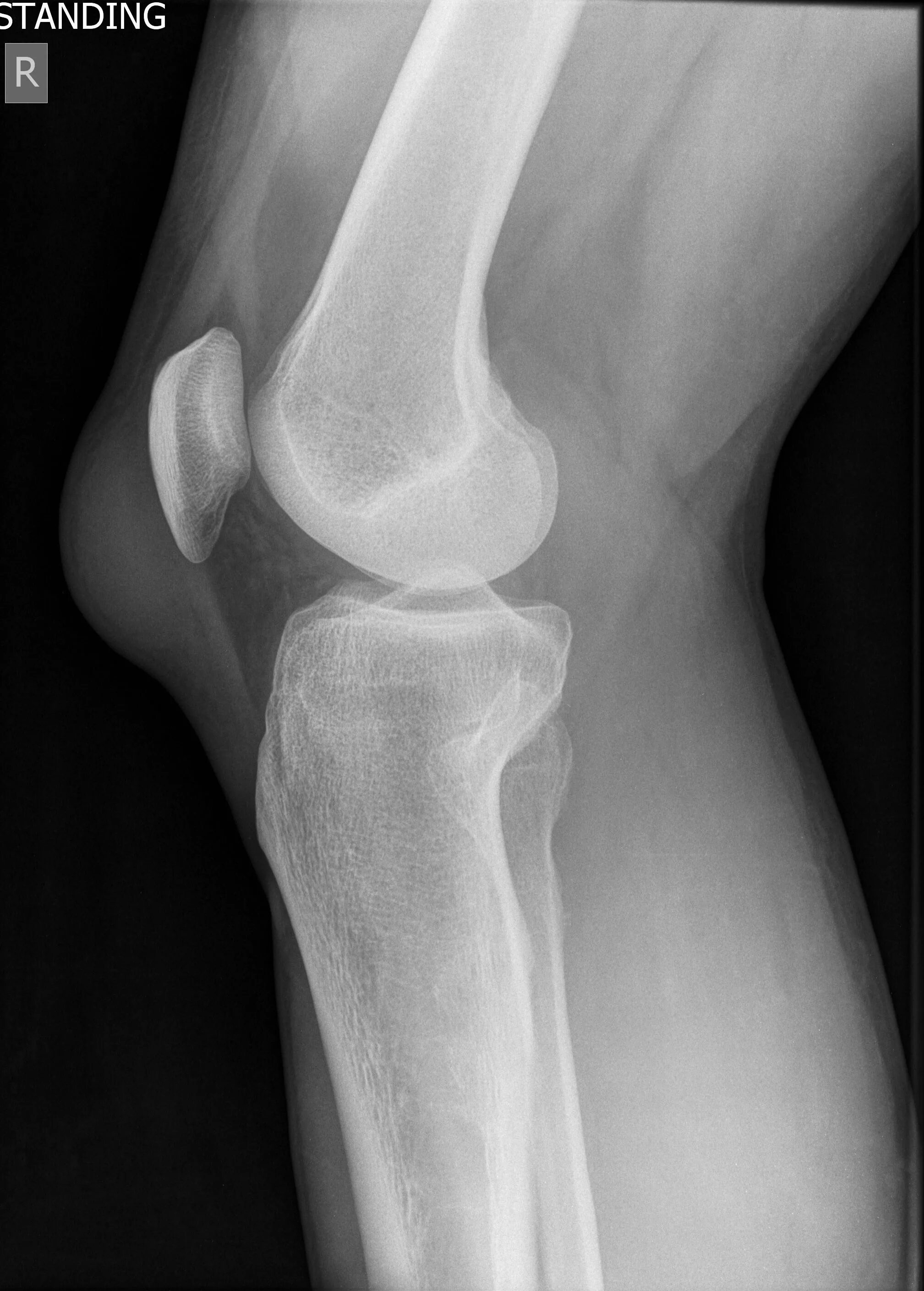
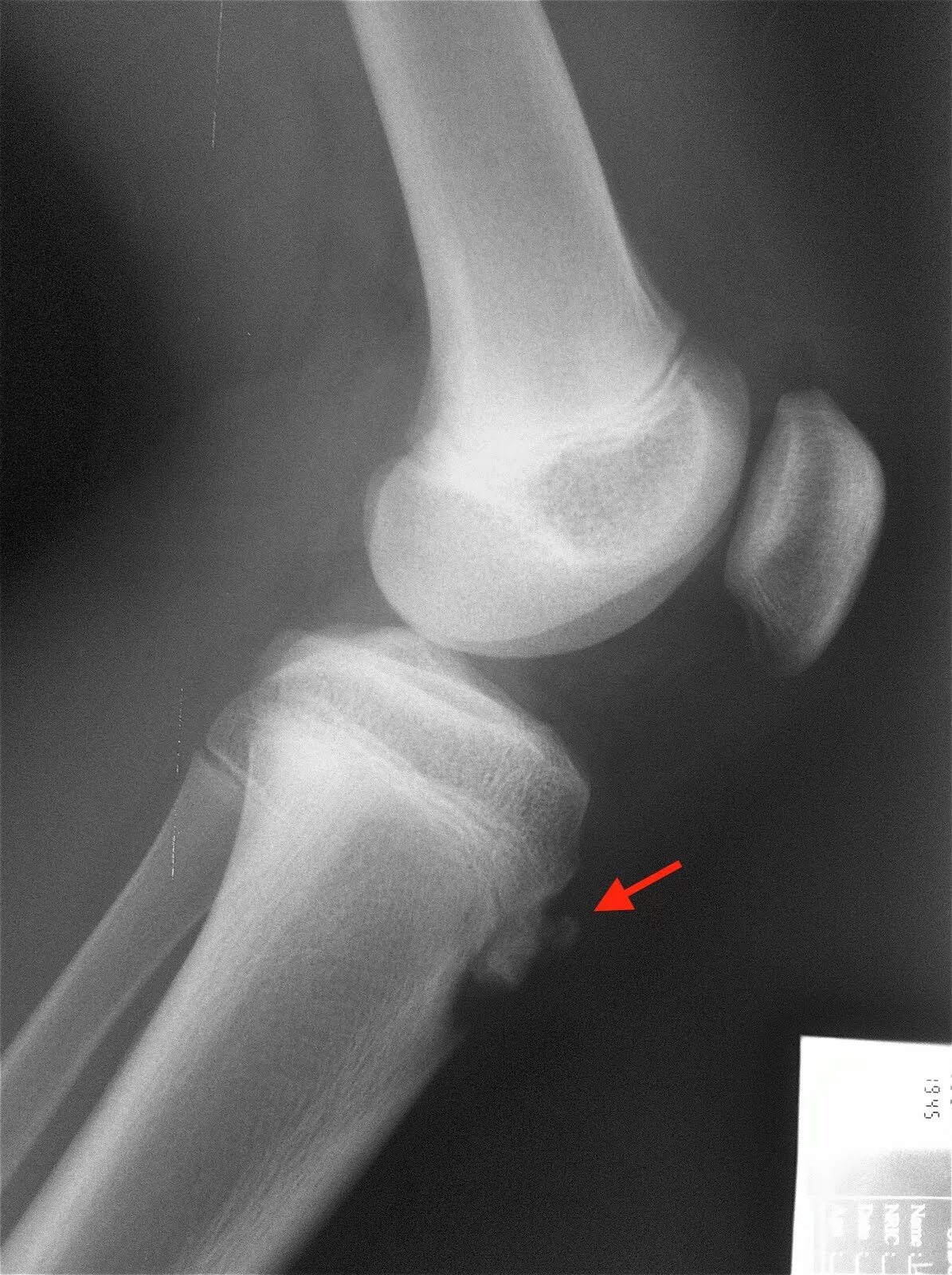
Синдром осгуда шляттера