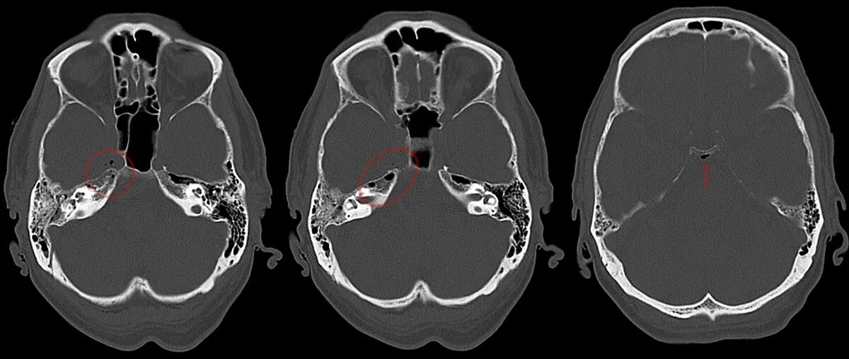
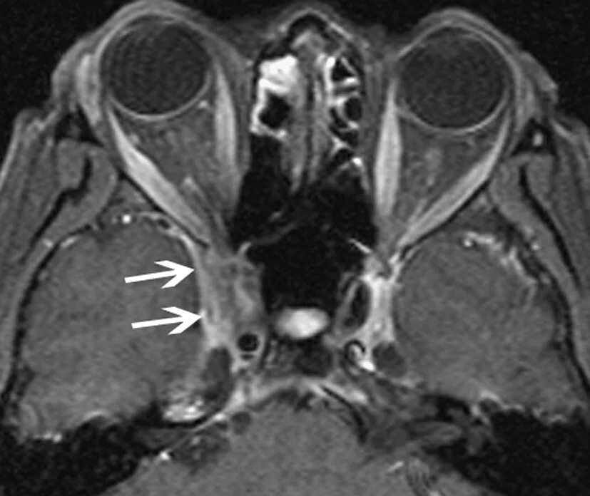
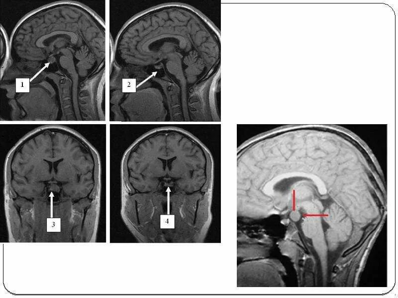
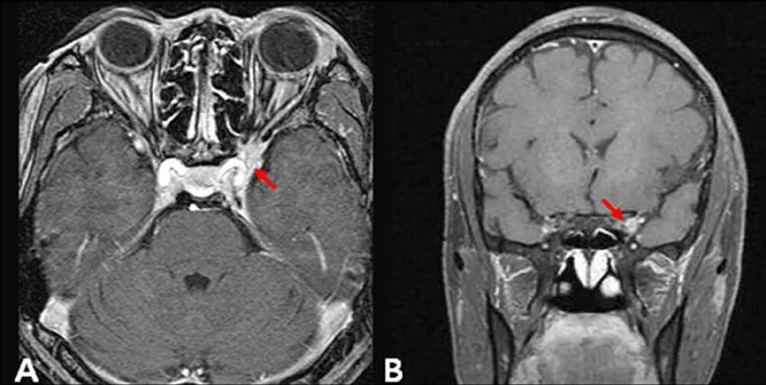
Синдром толоса