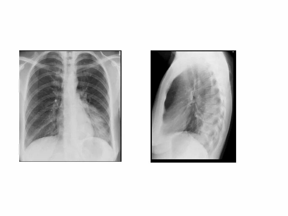
Синдром уплотнения ткани