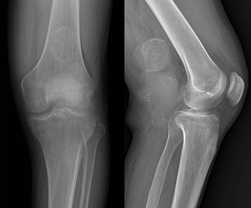
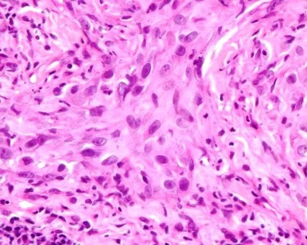
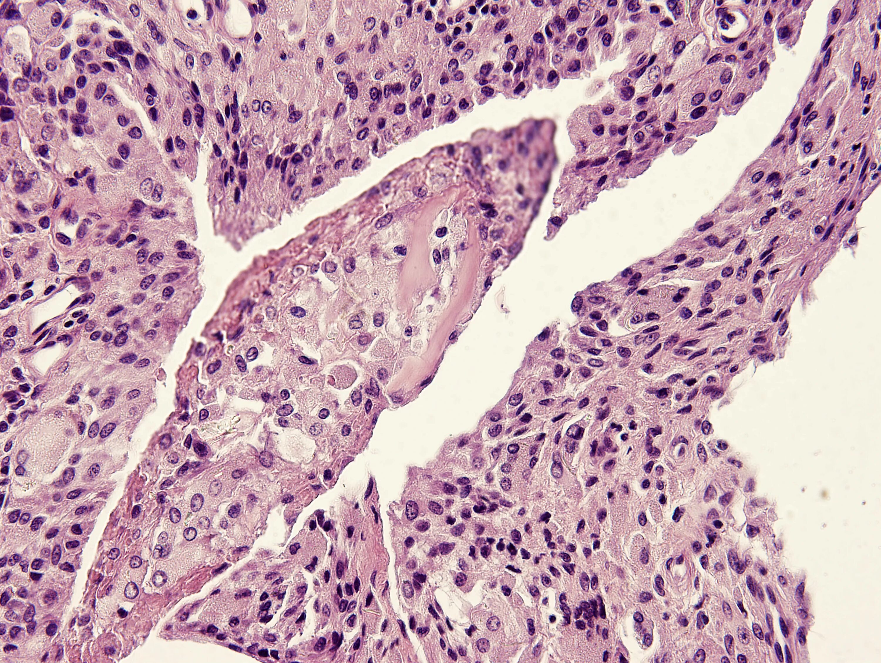
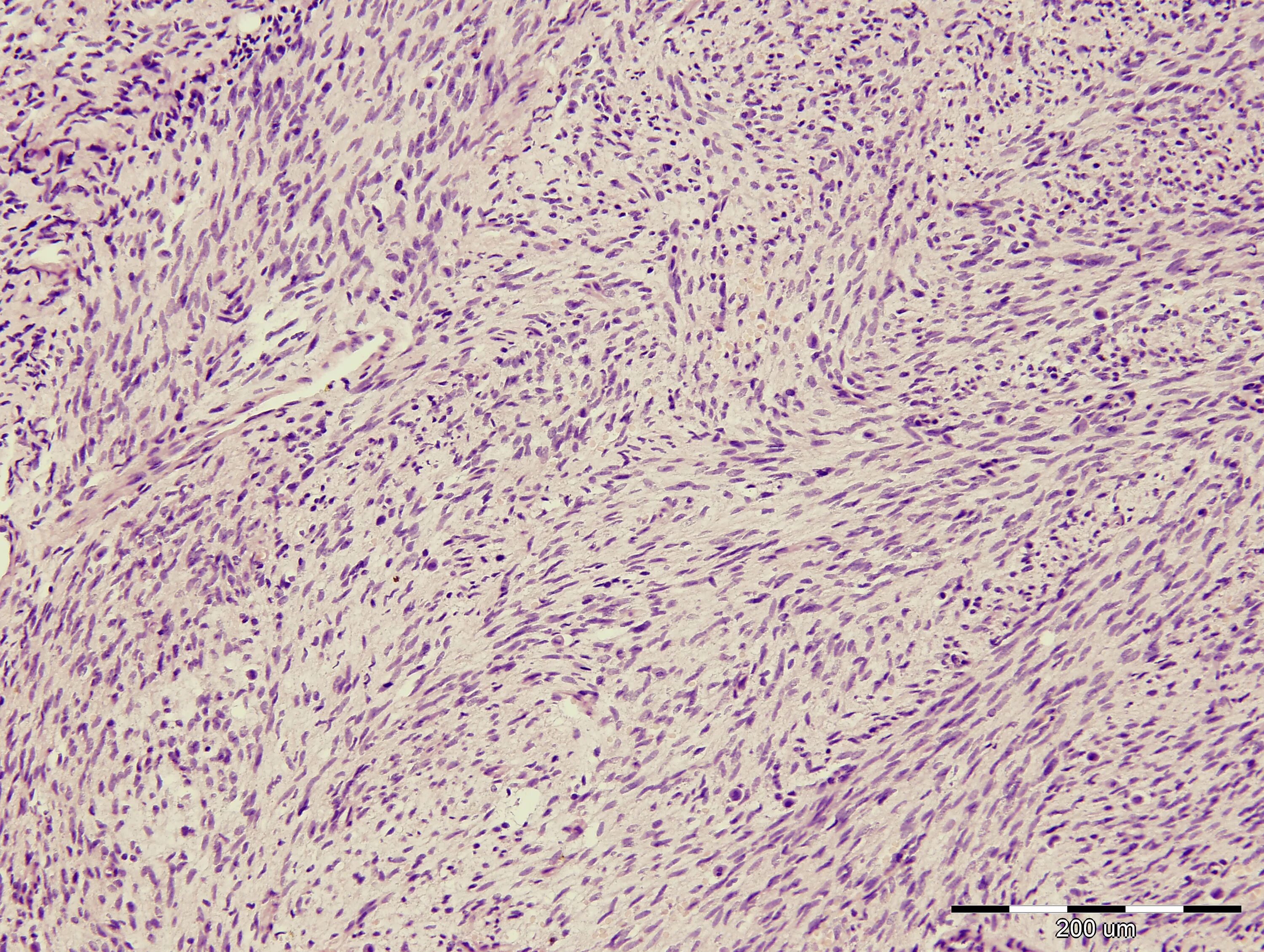
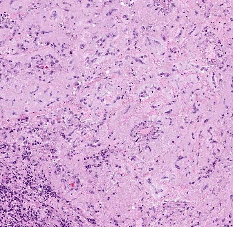
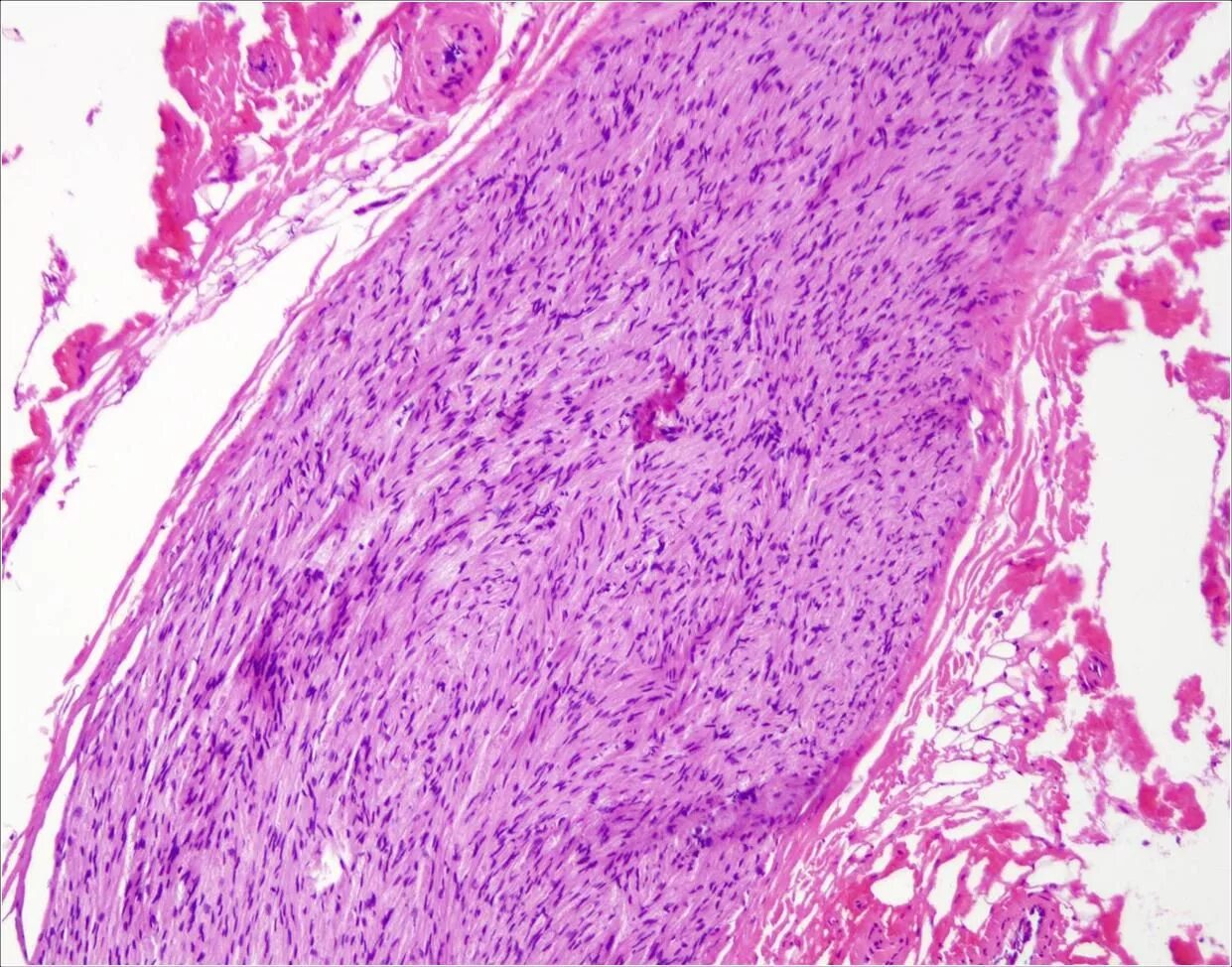
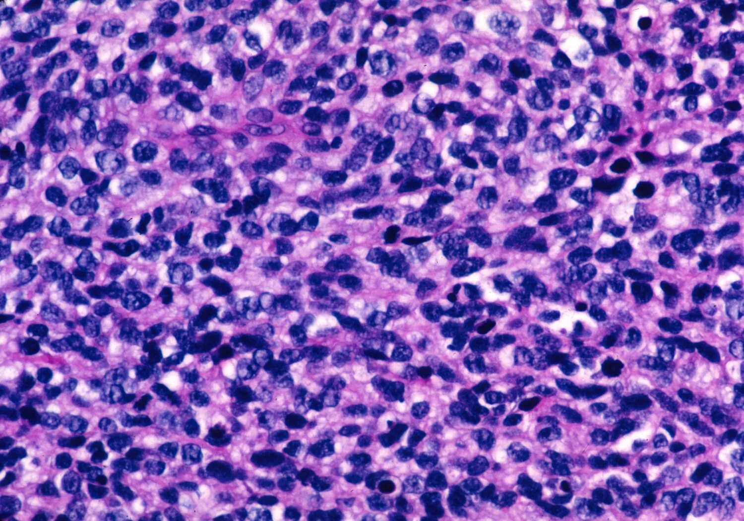
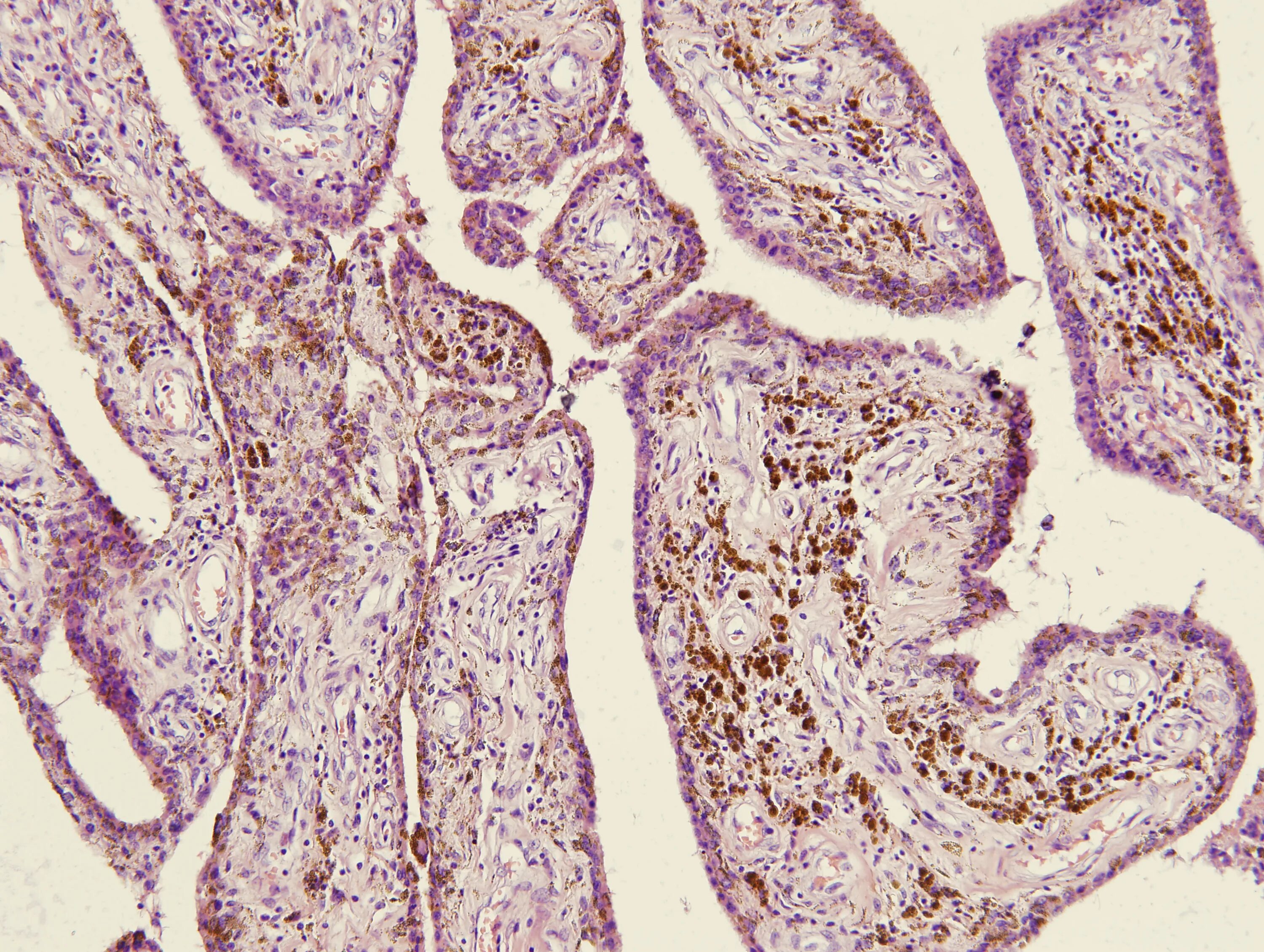
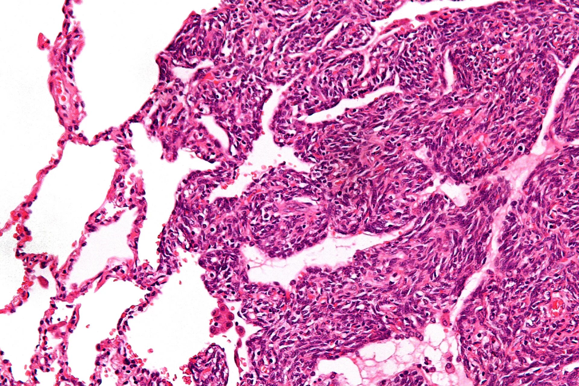
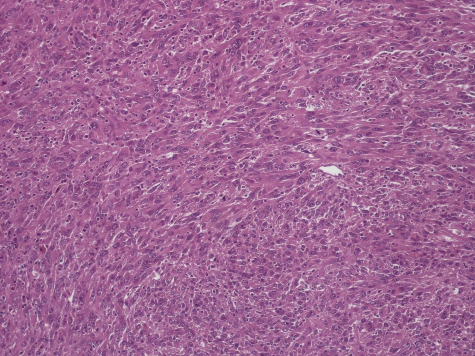
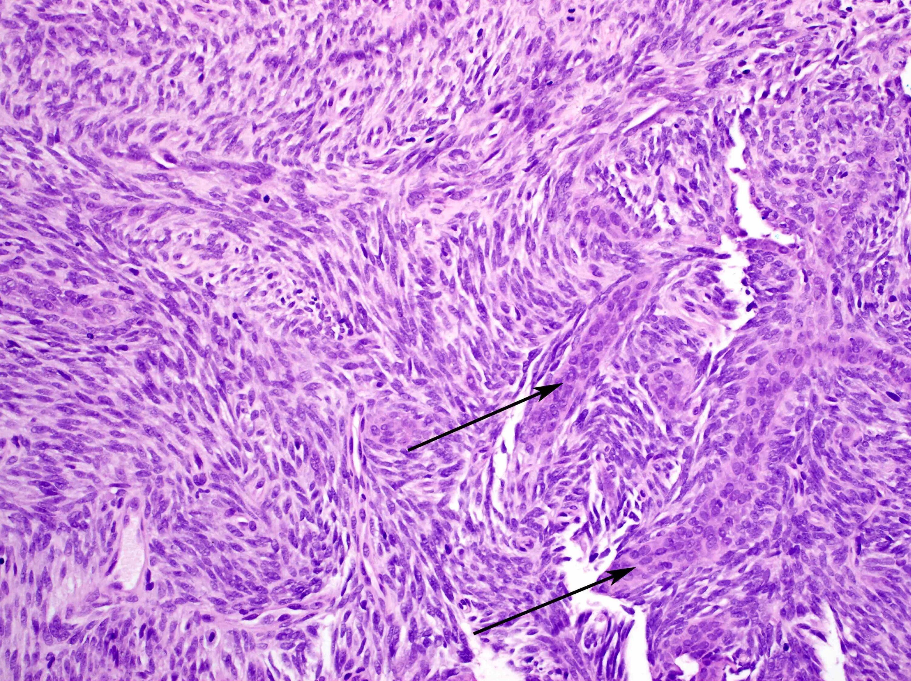
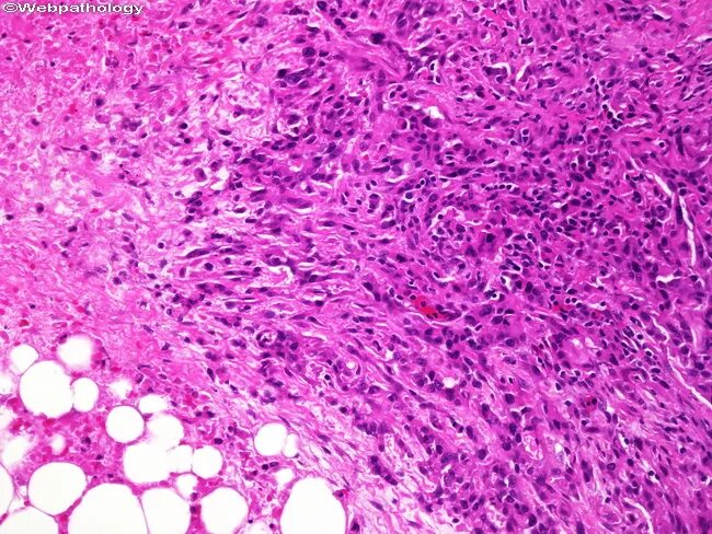
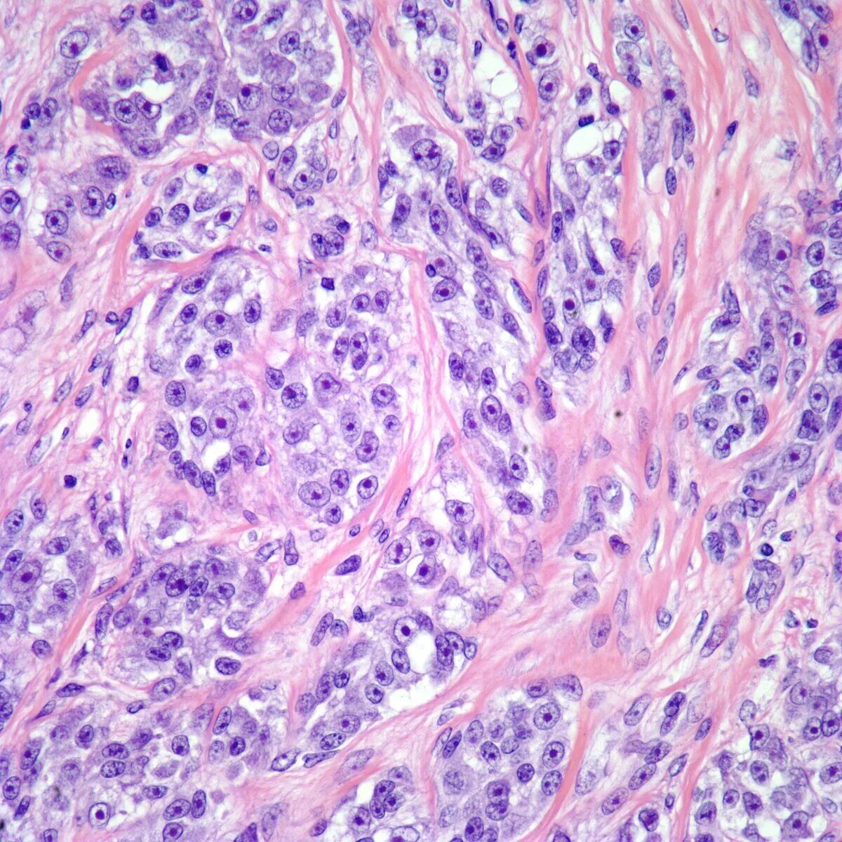
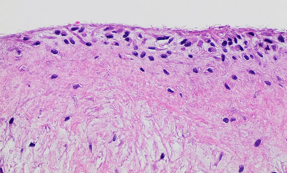
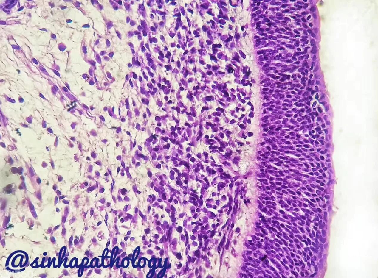
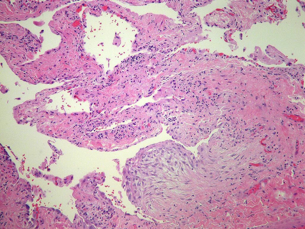
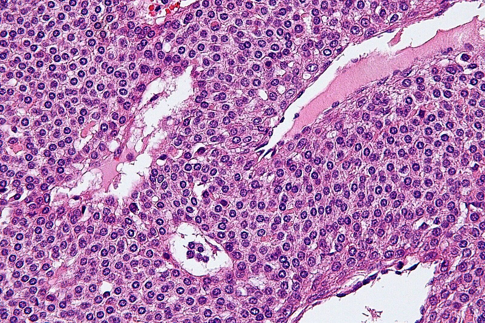
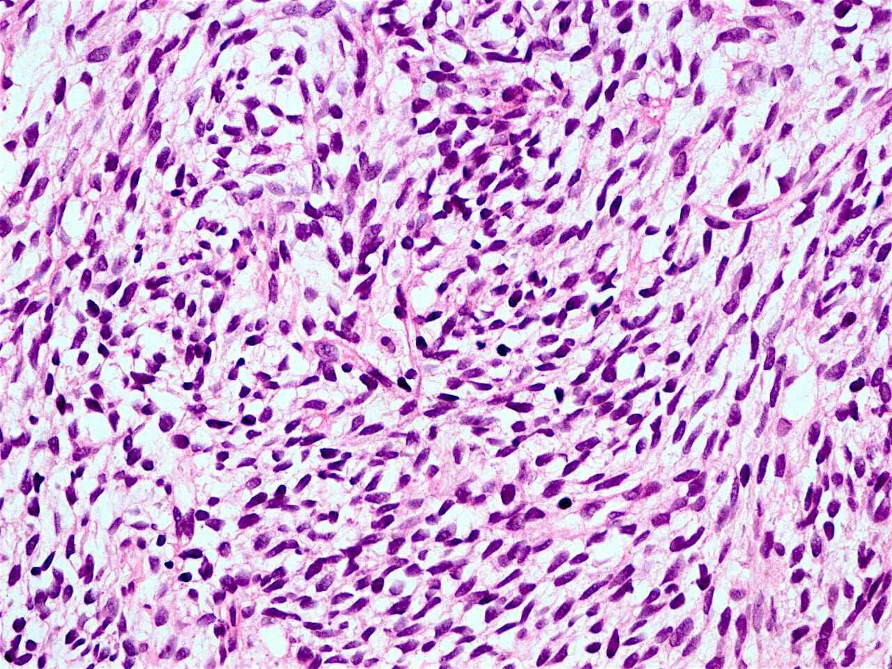
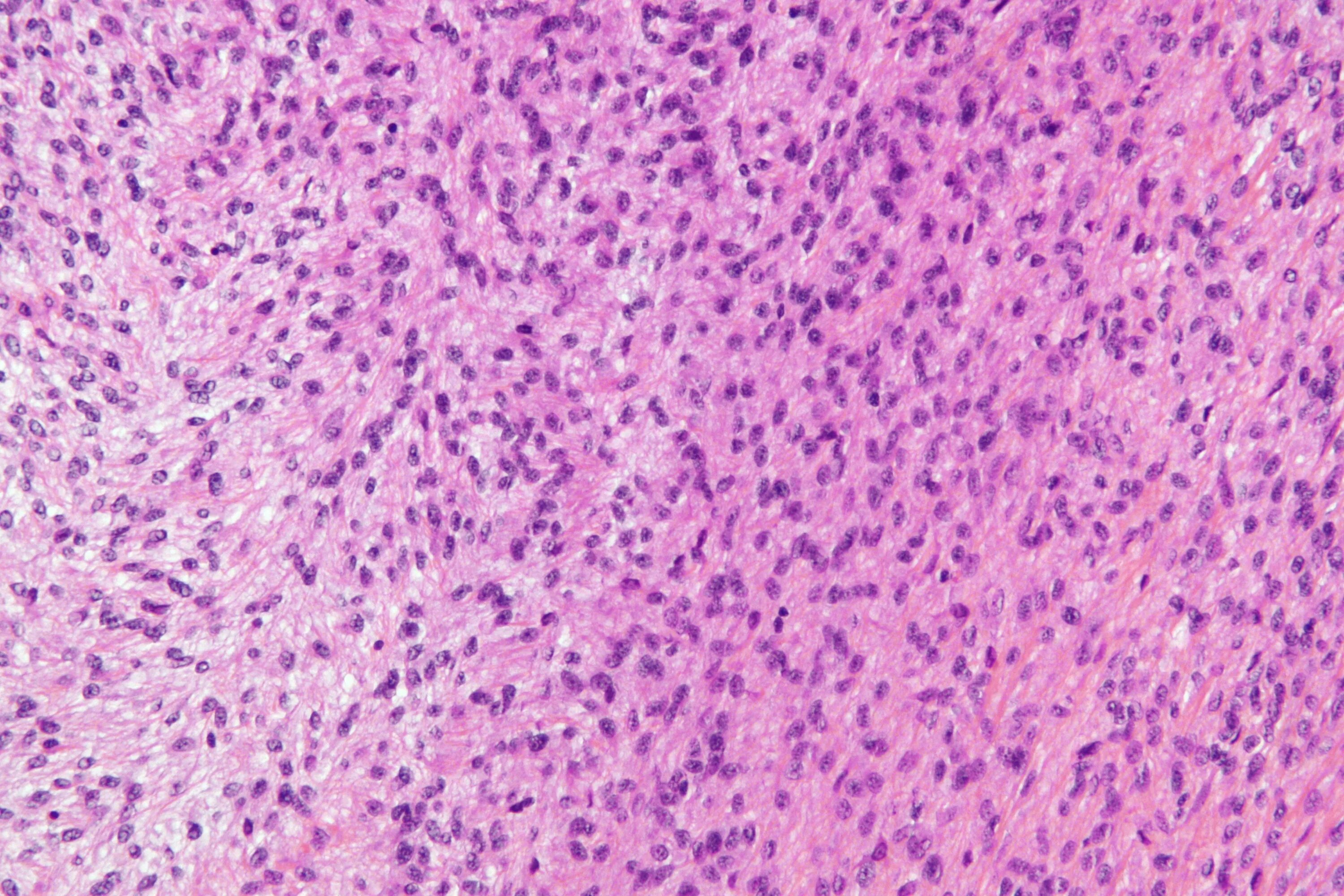
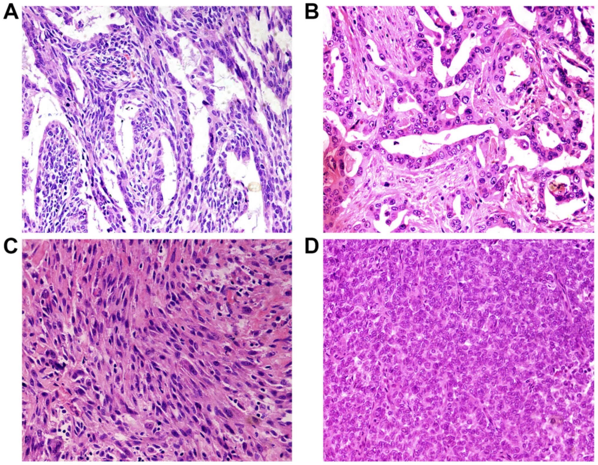
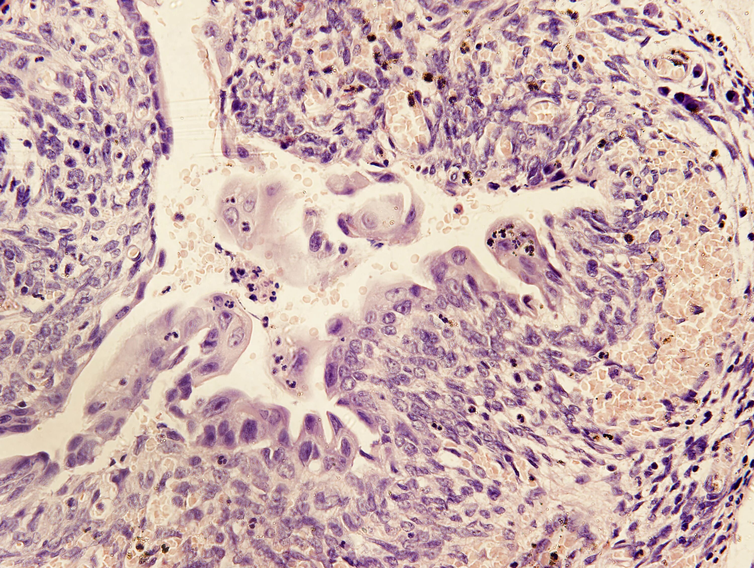
Синовиомы