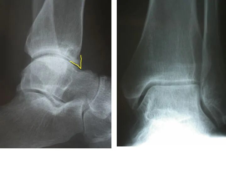
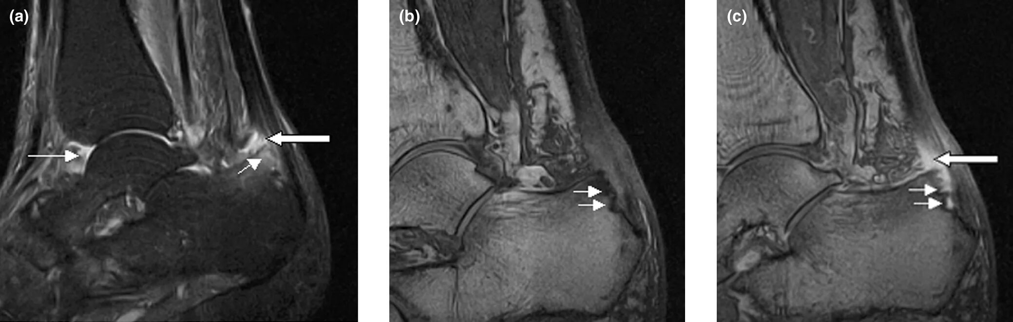
Синовит голеностопного таранного сустава