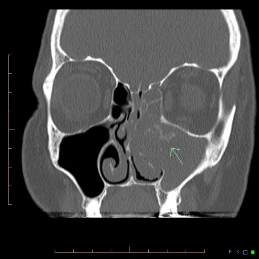
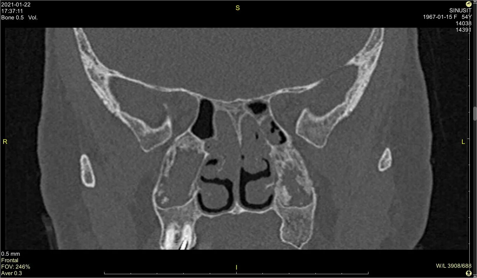
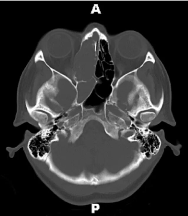
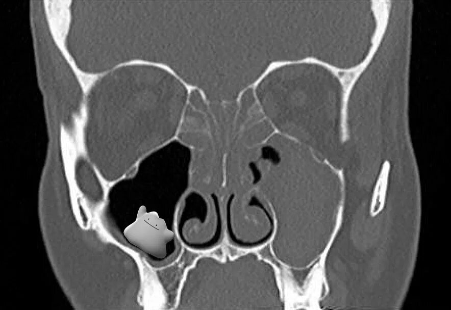
Синусит на кт