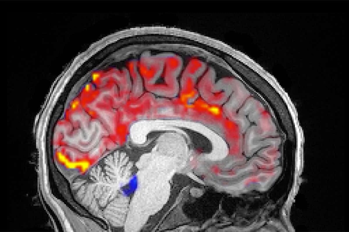
Sleeping brains