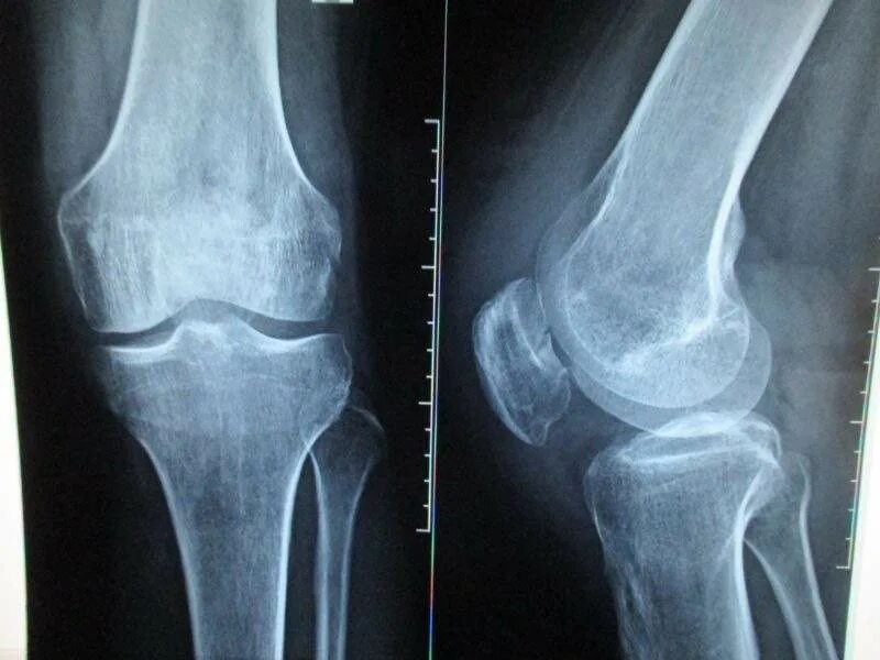
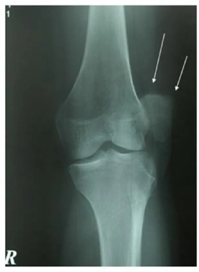
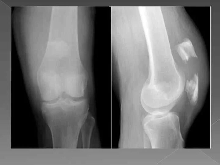
Смещение колена