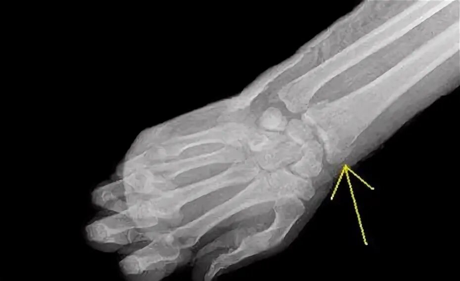
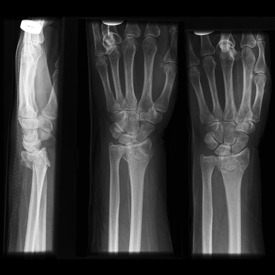
Смещение лучезапястной кости