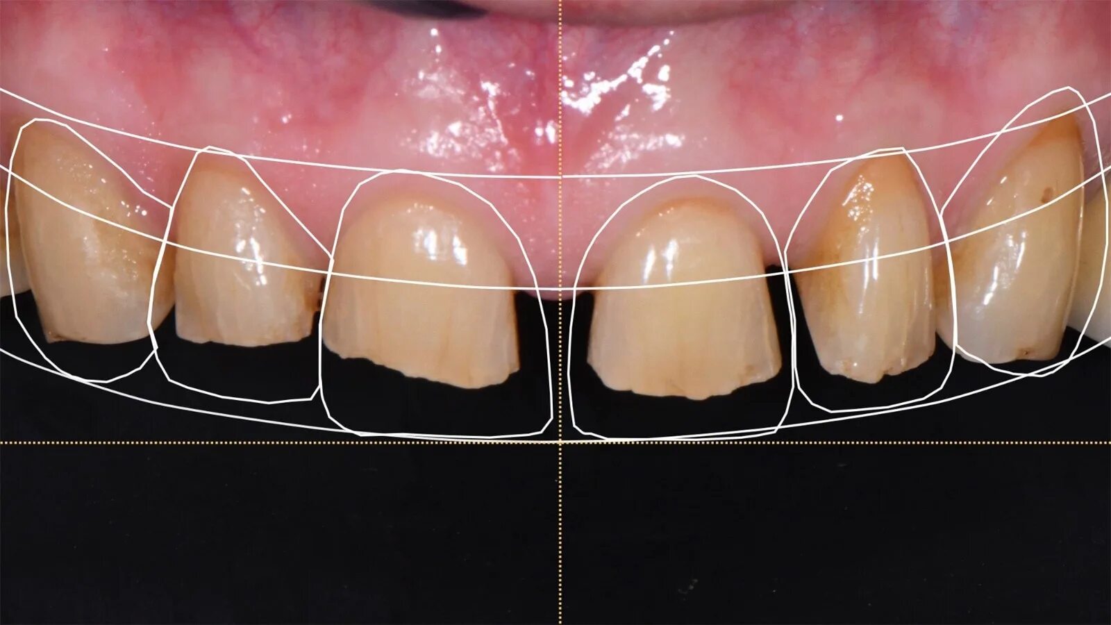
Smile design