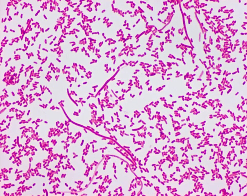
Sneathia spp