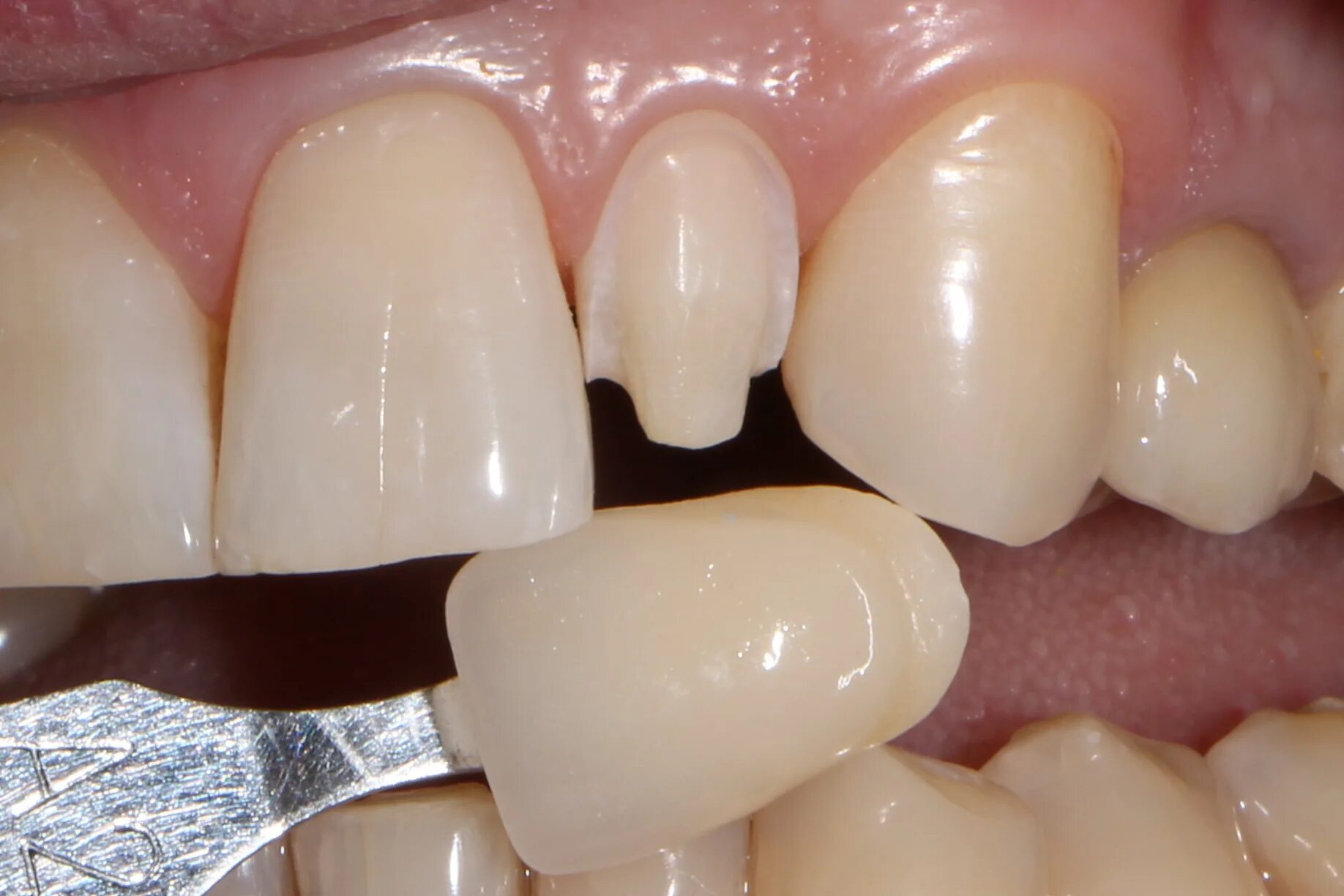
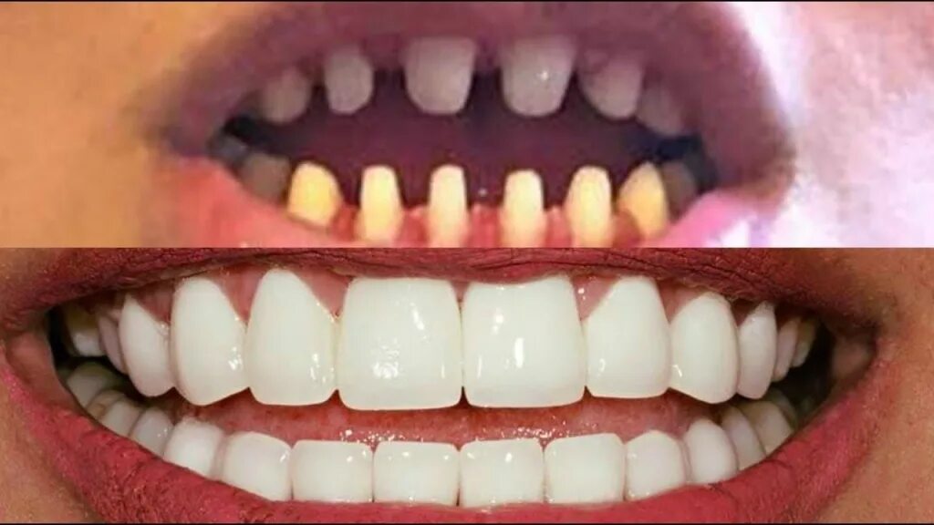
Спиливают ли зубы