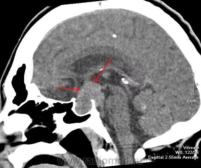
Спинка турецкого седла