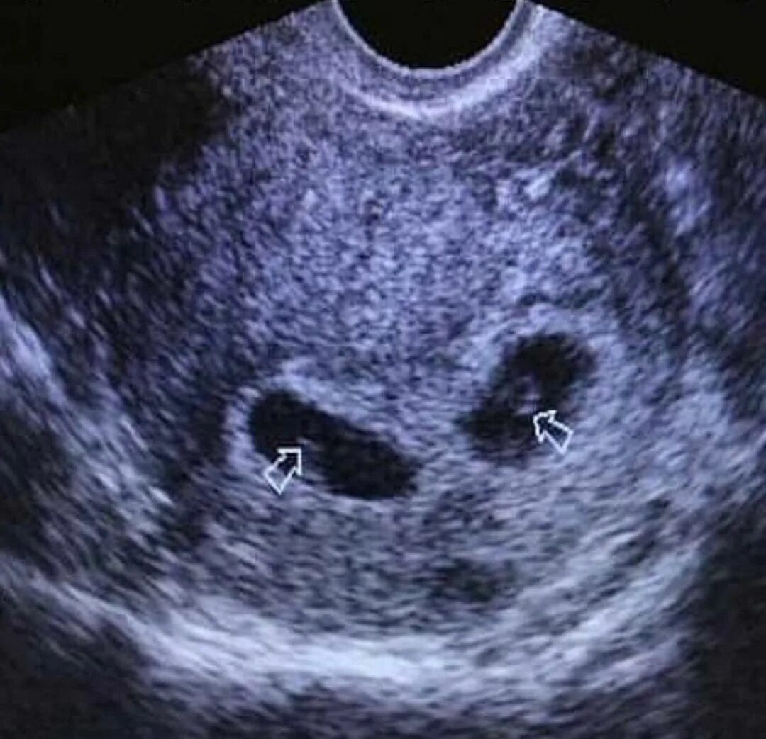
Срок видят эмбрион