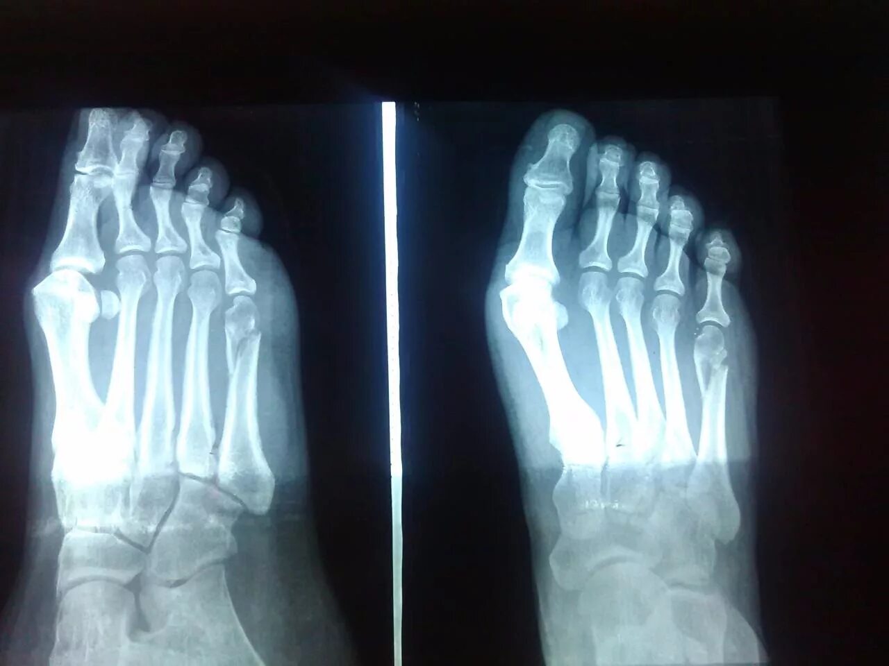
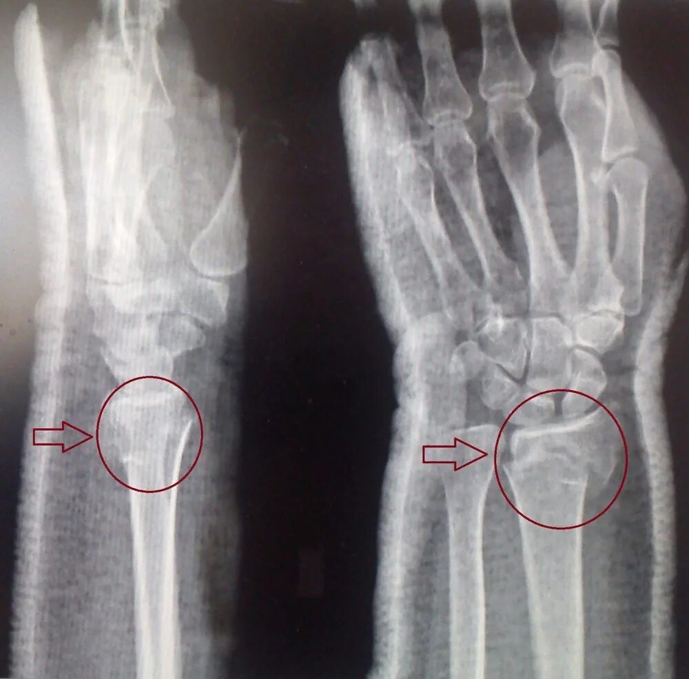
Срослась п и ж