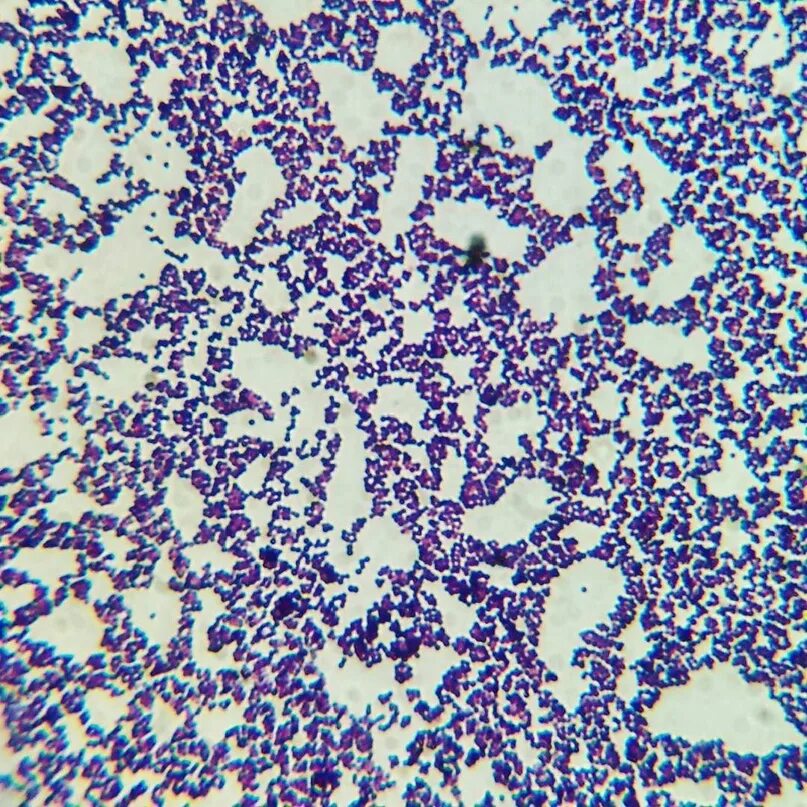
Стафилококки окраска