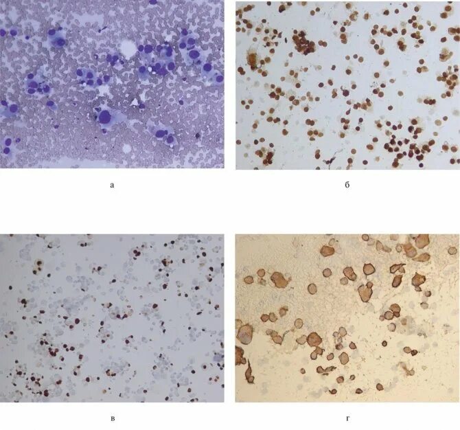
Стекла биопсии