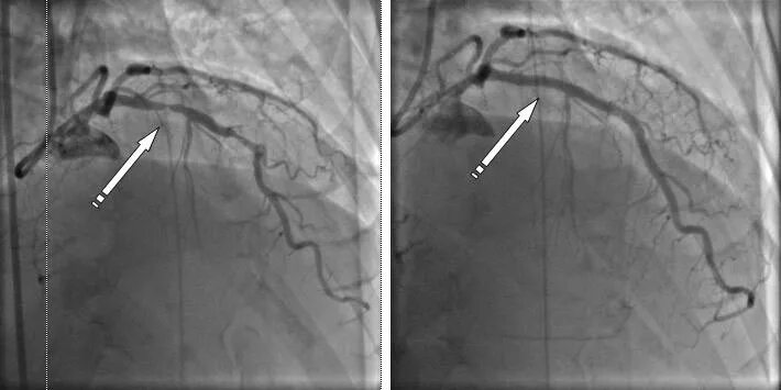
Стеноз проксимального отдела