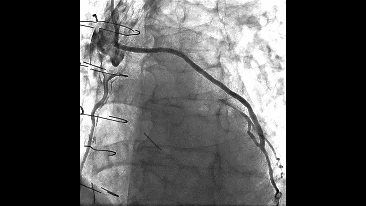
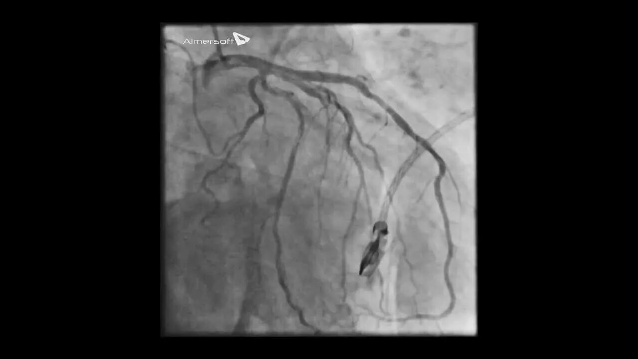
Стентирование самолет