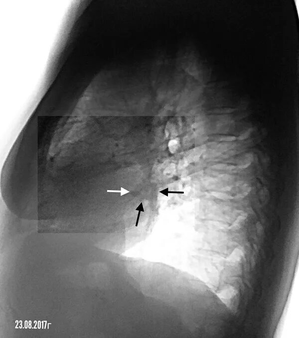
Susp c r