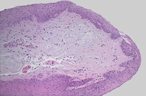
Связки гистология