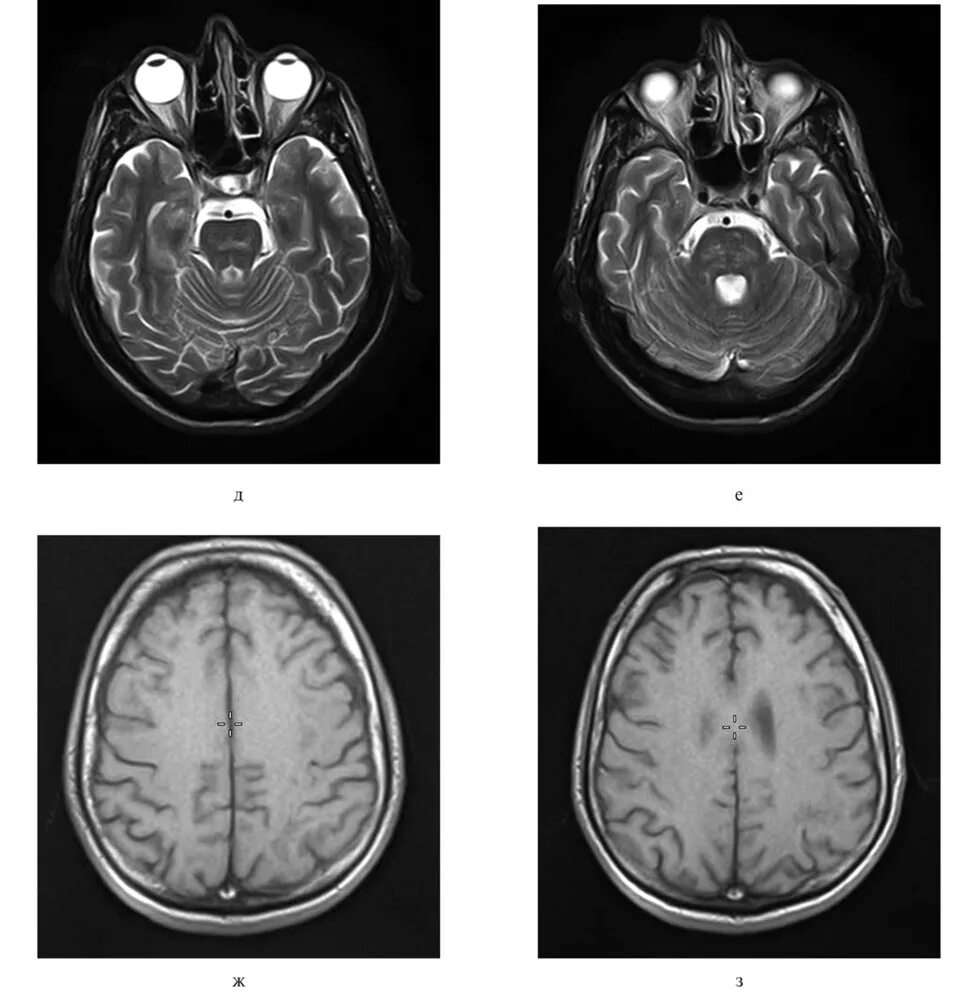
Т2 гипоинтенсивный