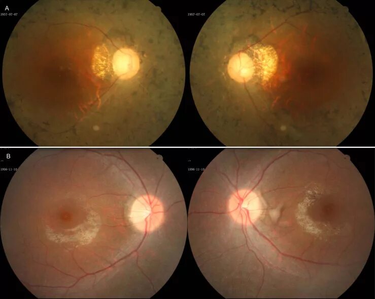
The appearance of new