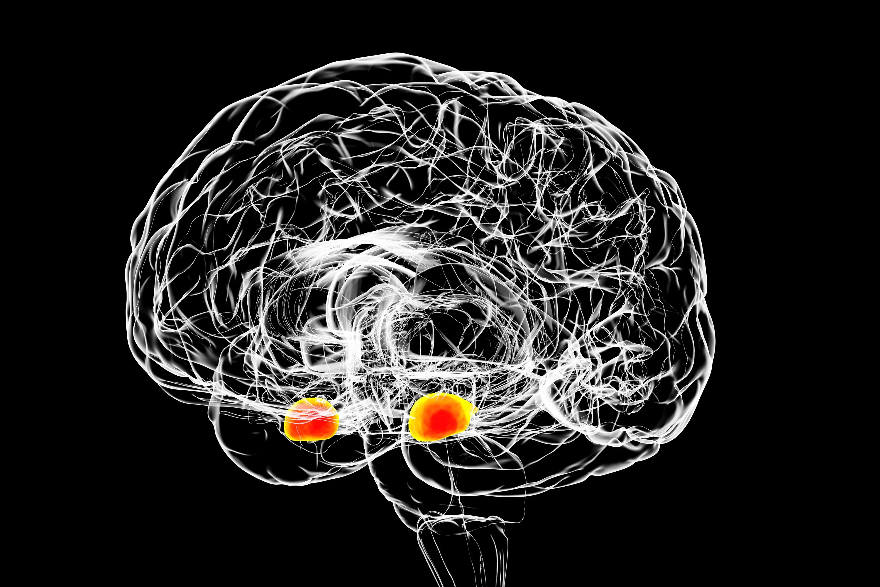
The brain 7