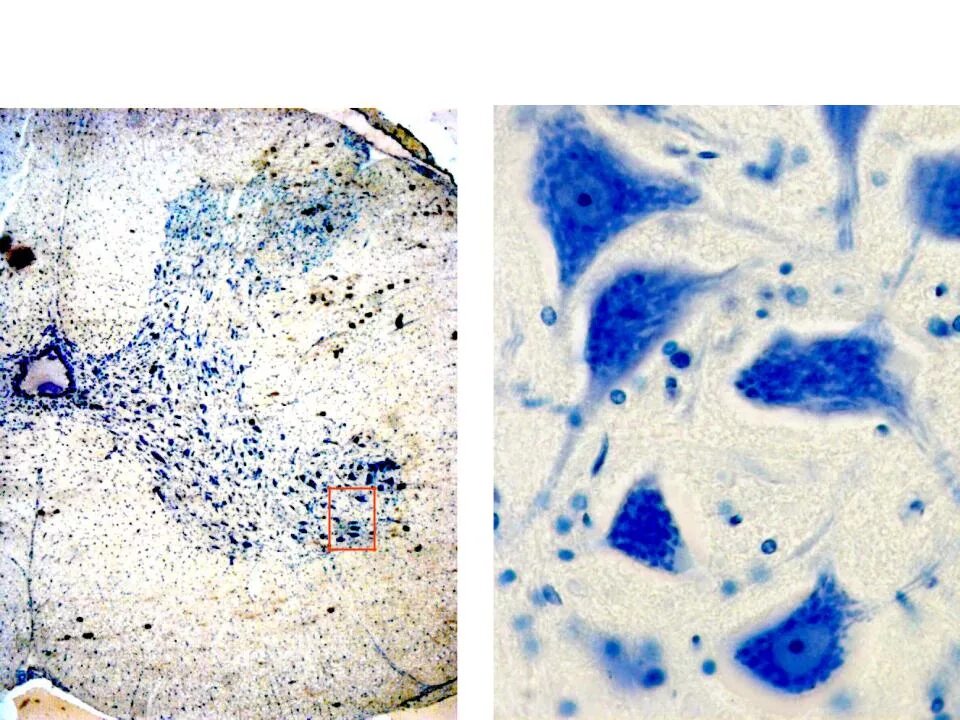
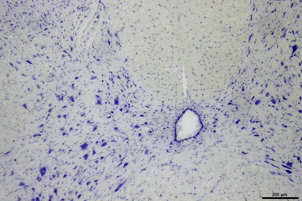
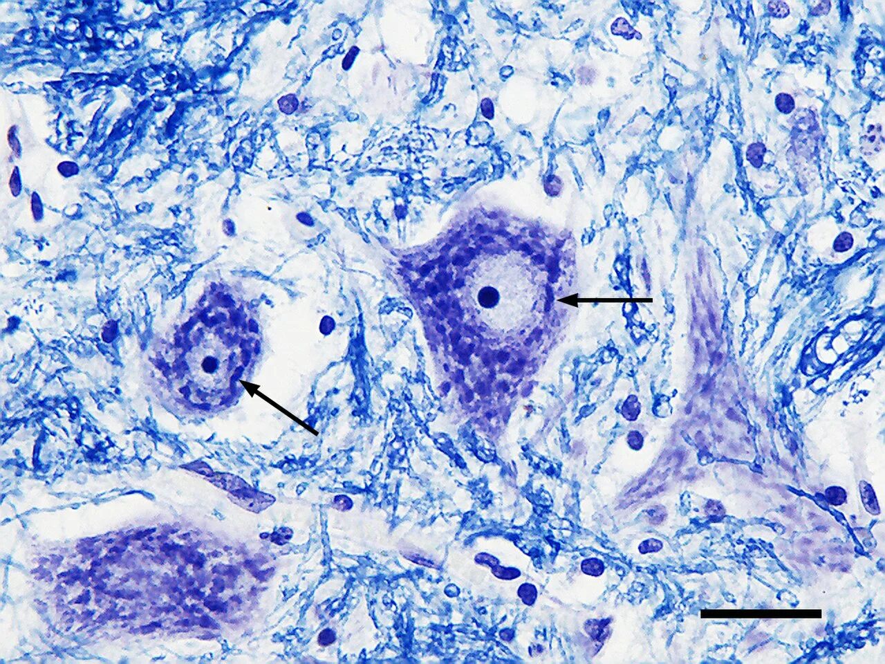
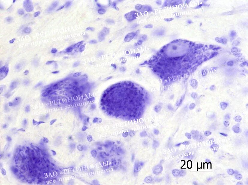
Тигроид гистология