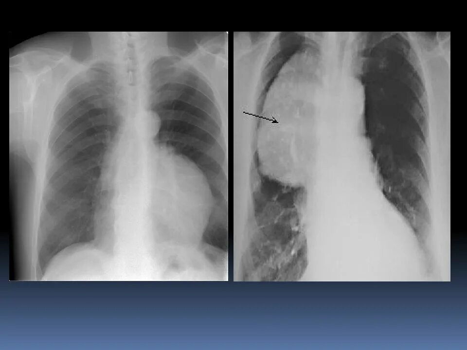
Тимус в переднем средостении