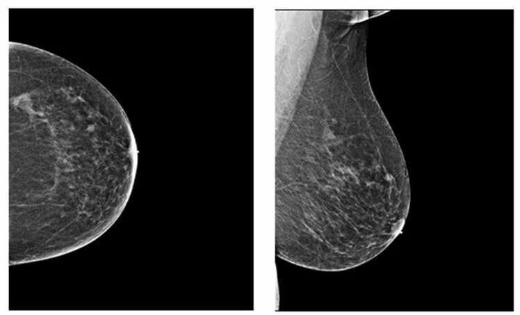
Тип плотности в в молочной железе