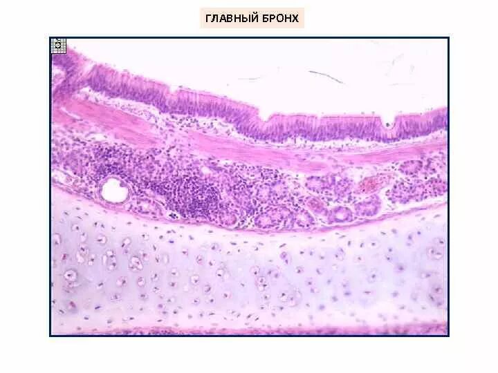
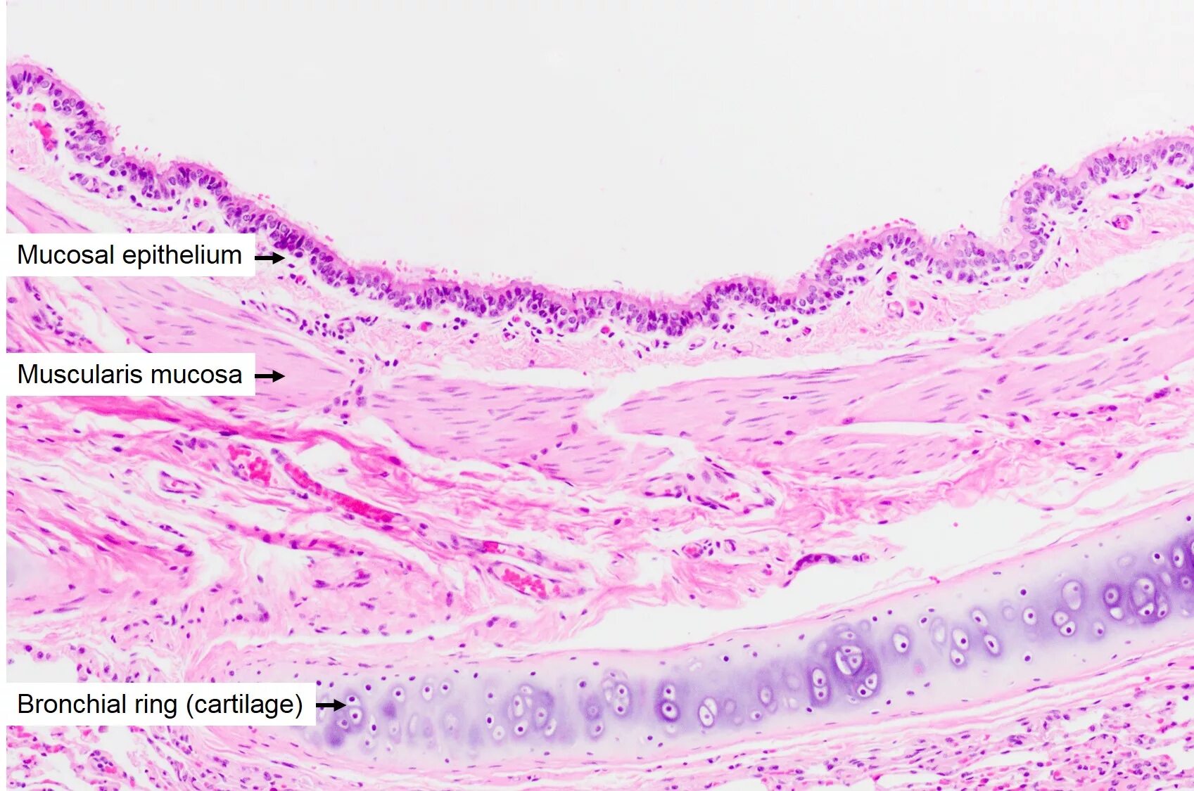
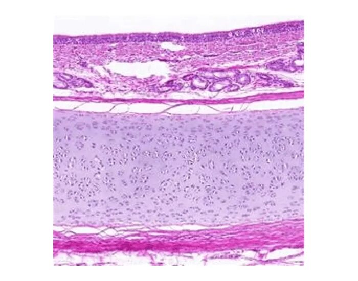
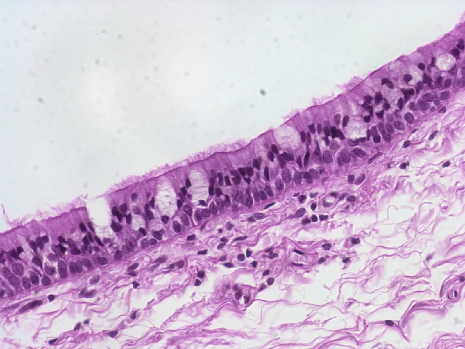
Трахея гистологический