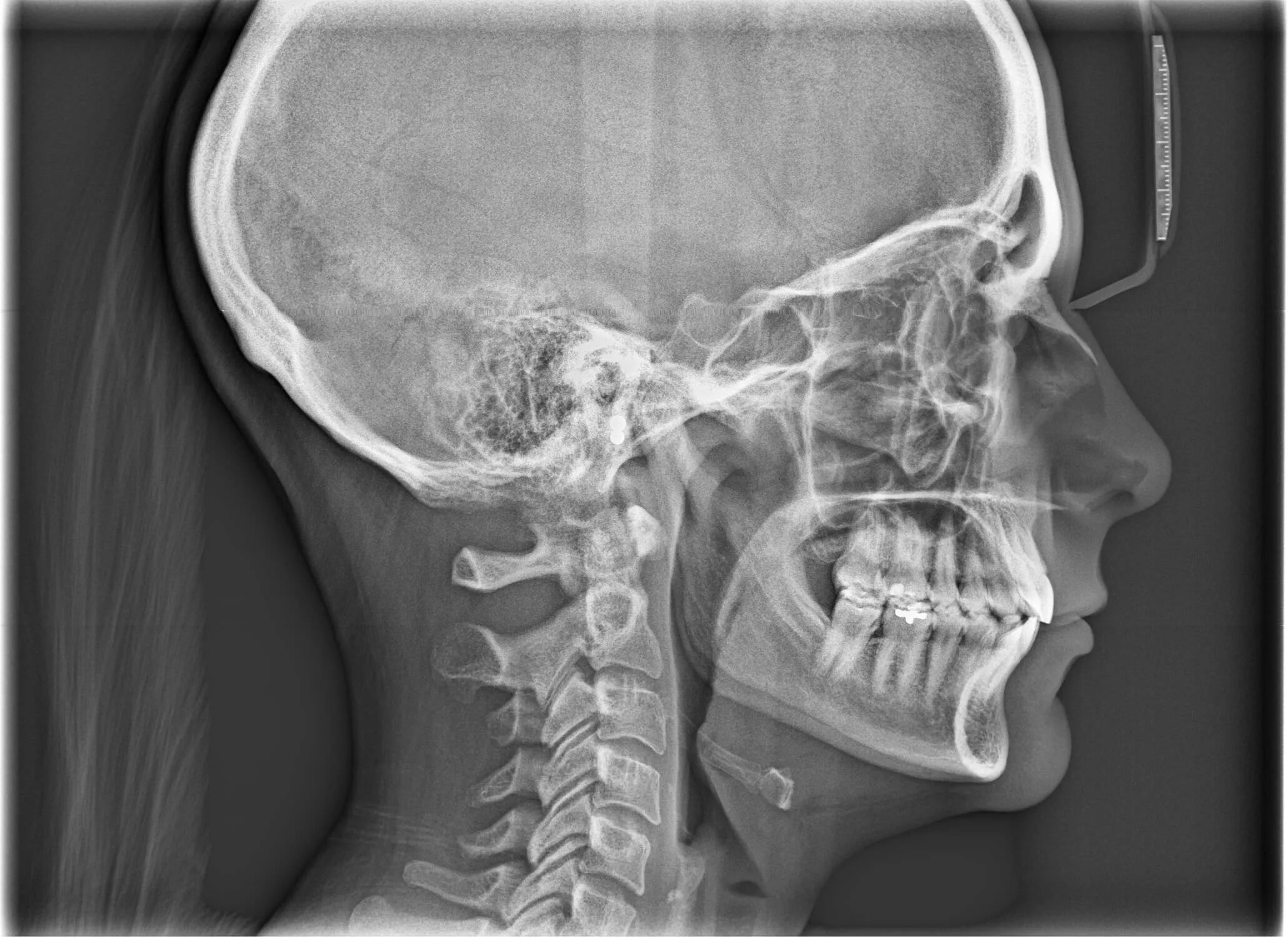
Трг проекции