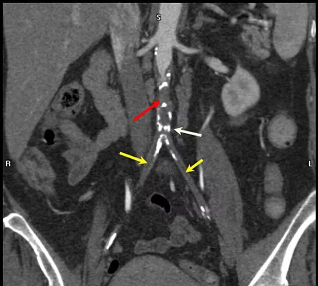
Тромбоз аневризмы аорты