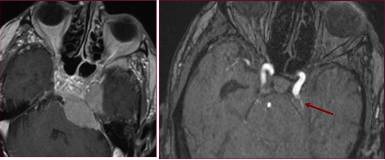
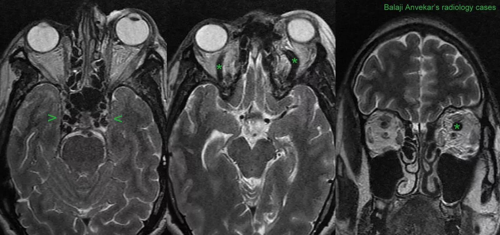
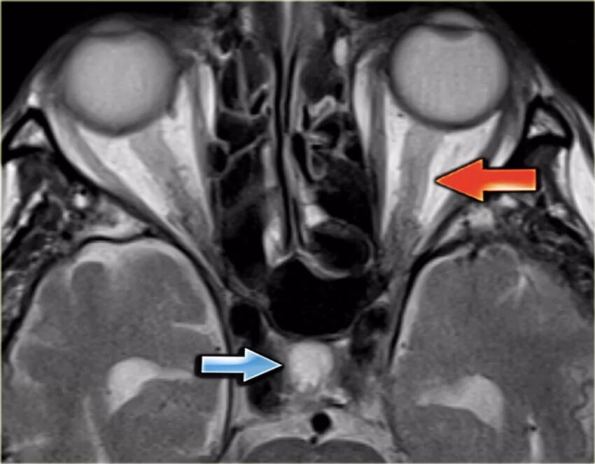
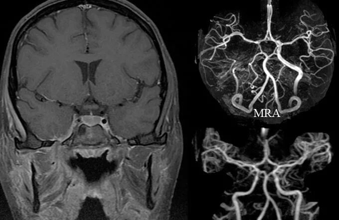
Тромбоз кавернозных