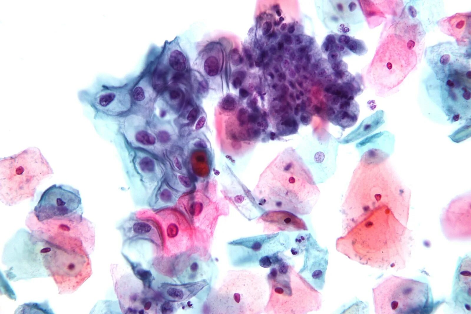
Цервицит цитологически