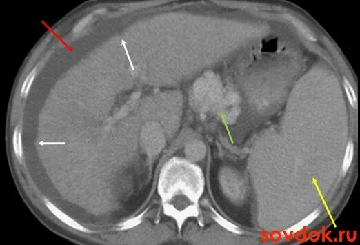
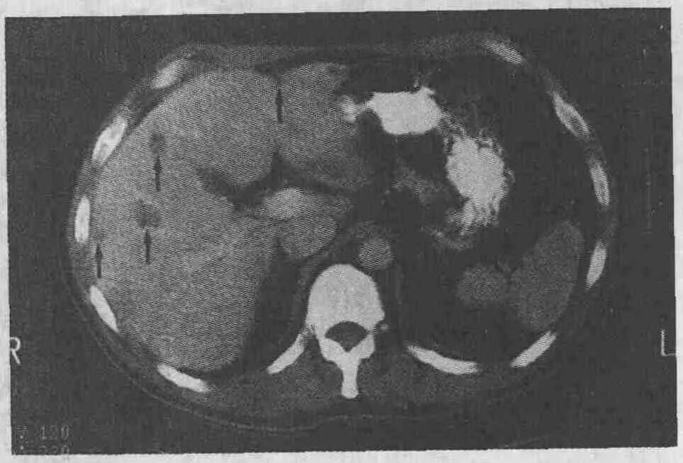
Цирроз на кт