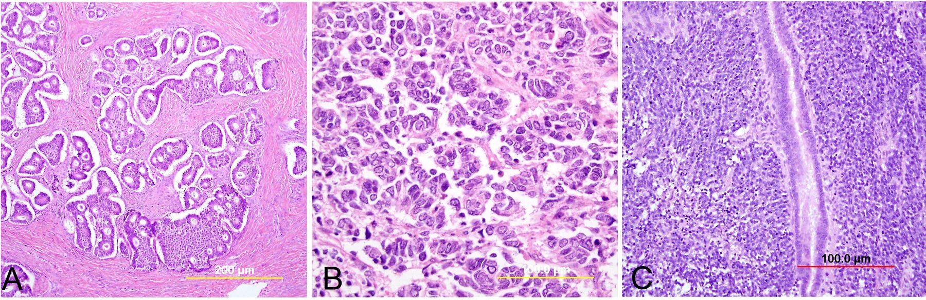
Цитологические и гистологические исследования