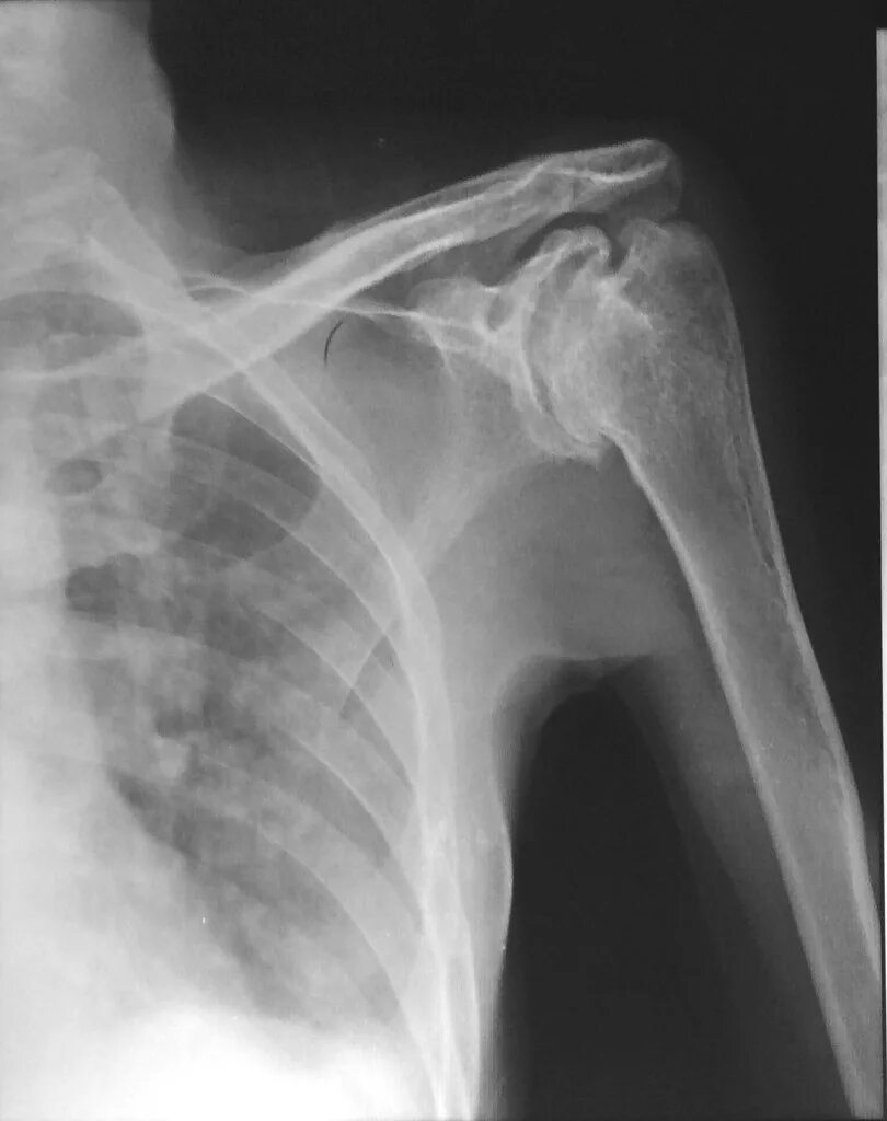
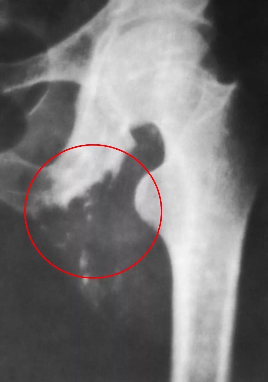
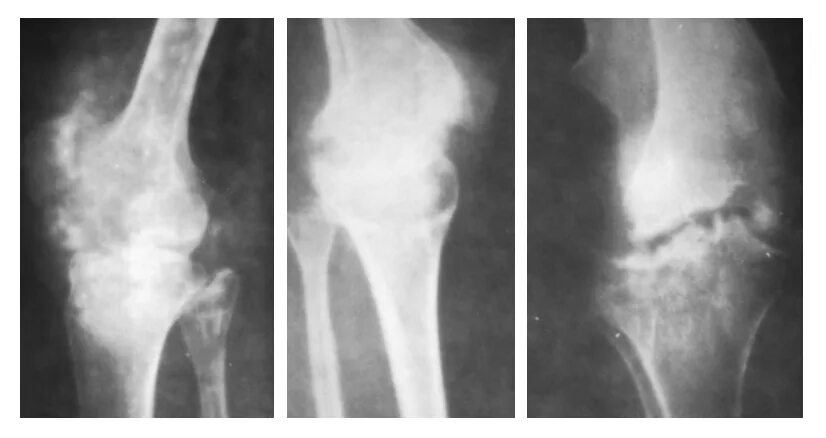
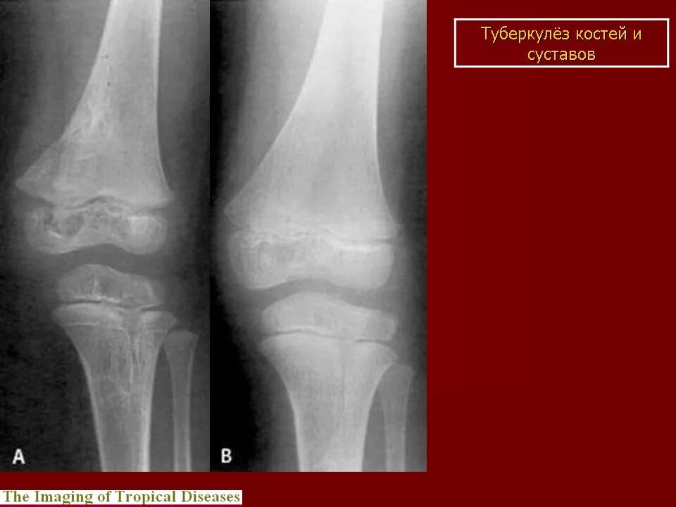
Туберкулез суставов симптомы