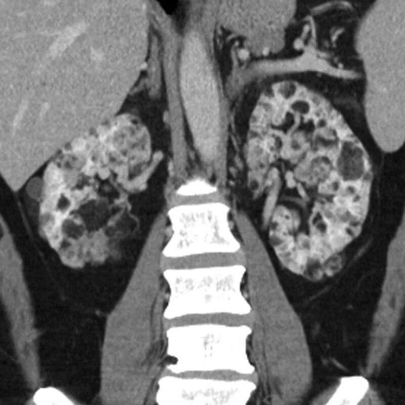
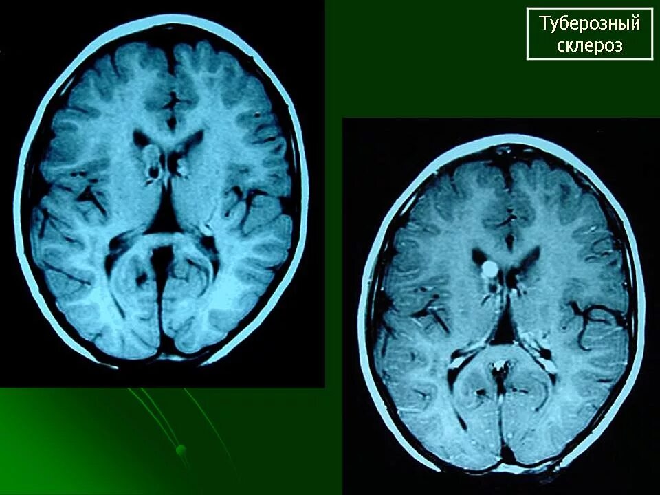
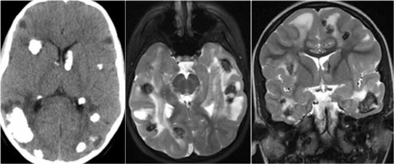
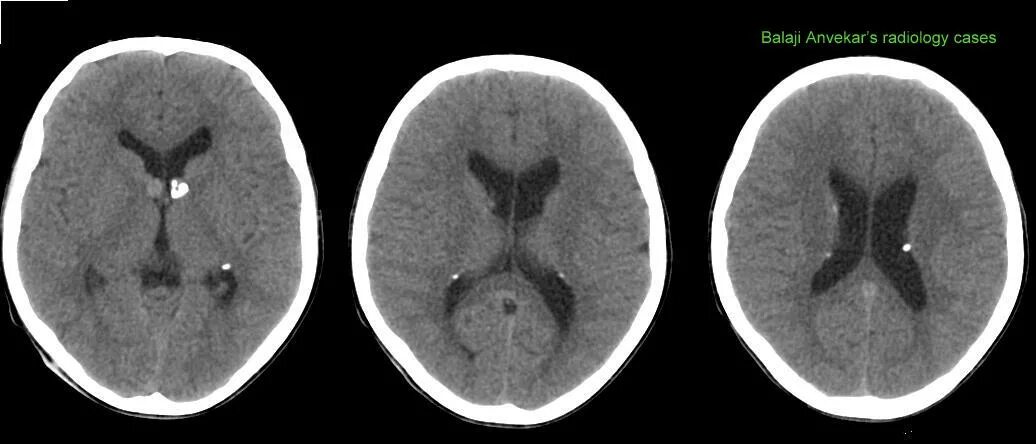
Туберкулезный склероз