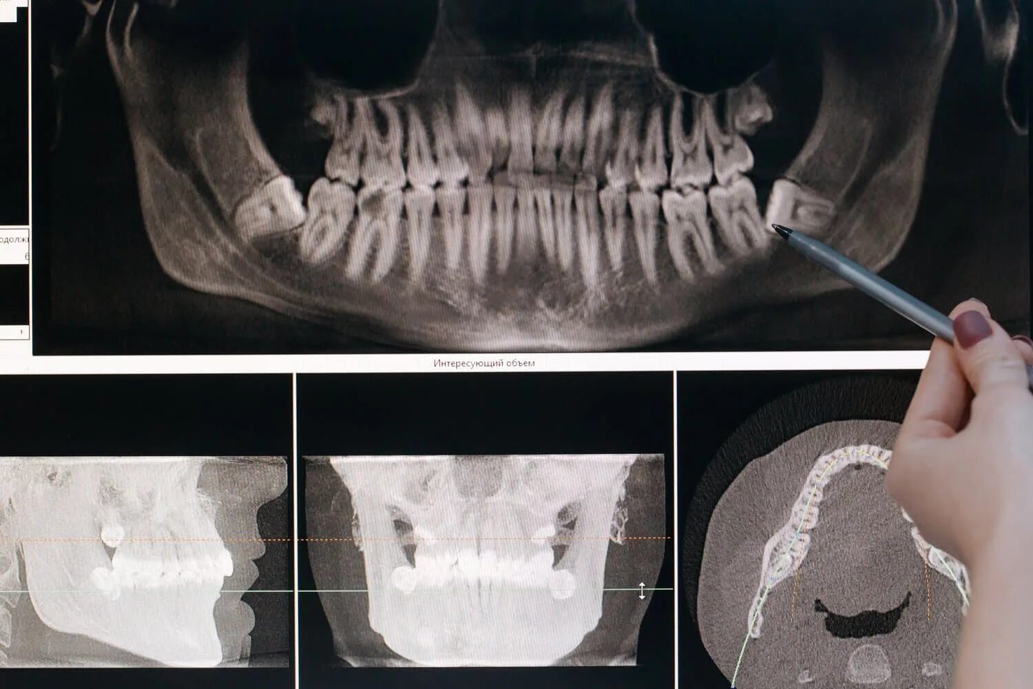
Удаленный зуб 8