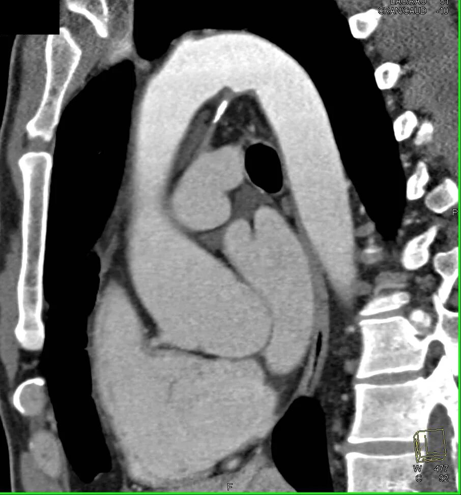
Уплотнение стенок ак