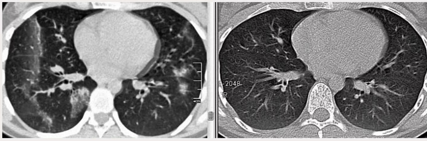
Уплотнения паренхимы по типу