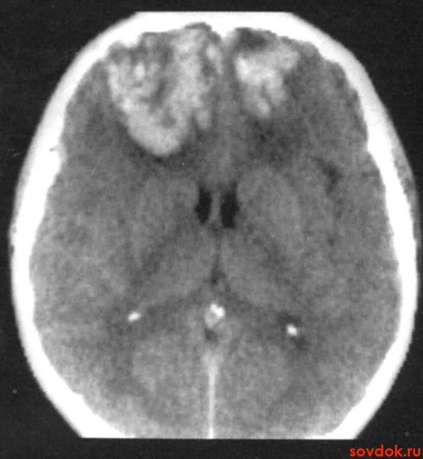
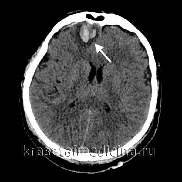
Ушиб головного мозга кт