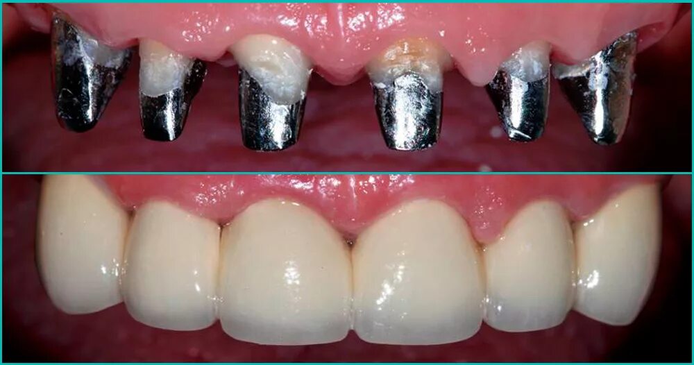
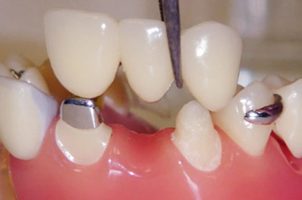
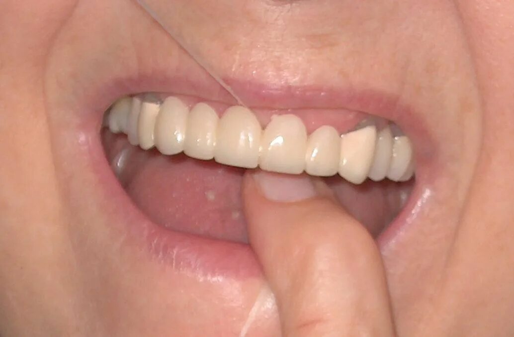
Установка моста на передние зубы