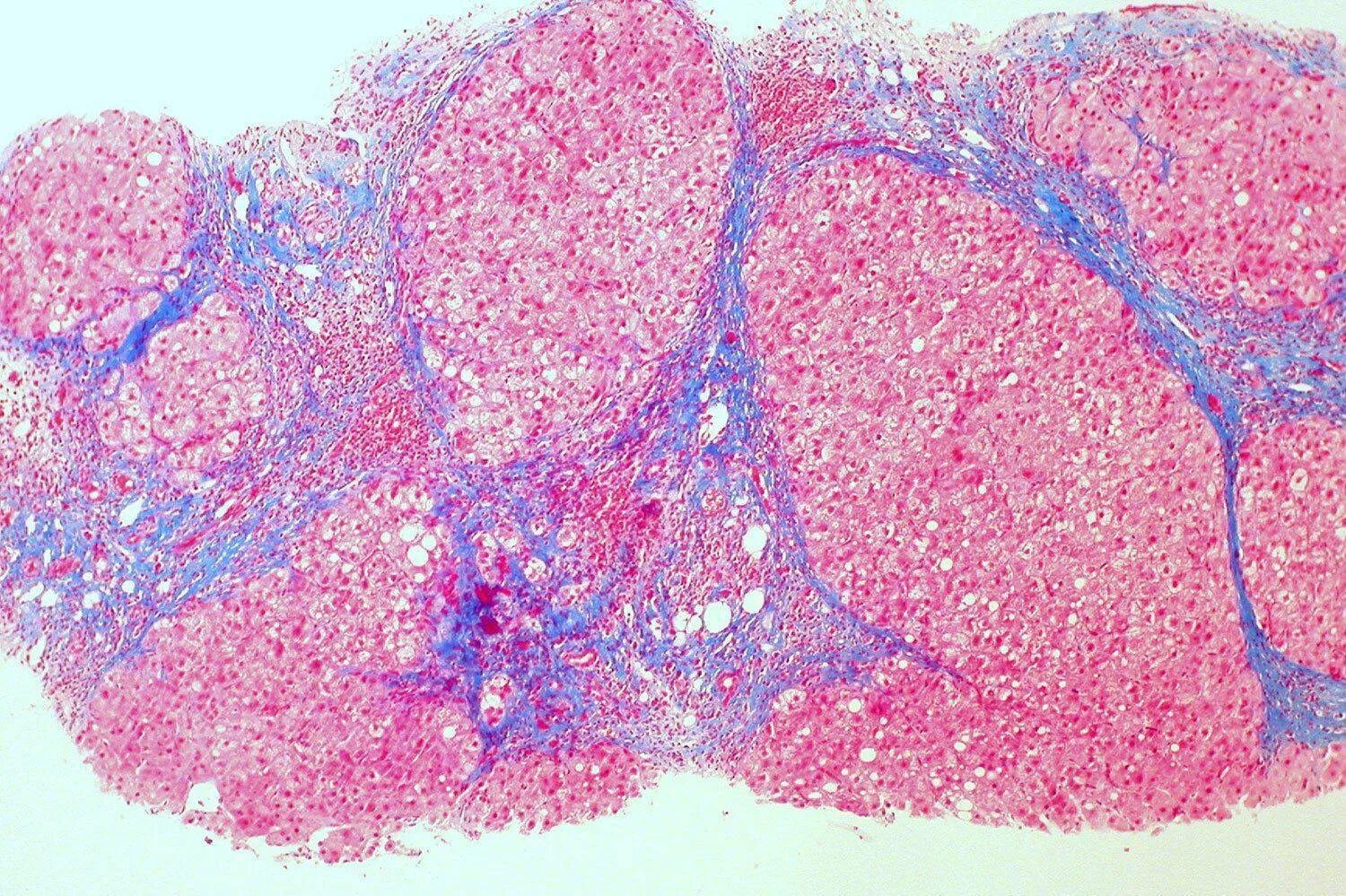
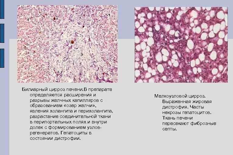
Узлы регенерации