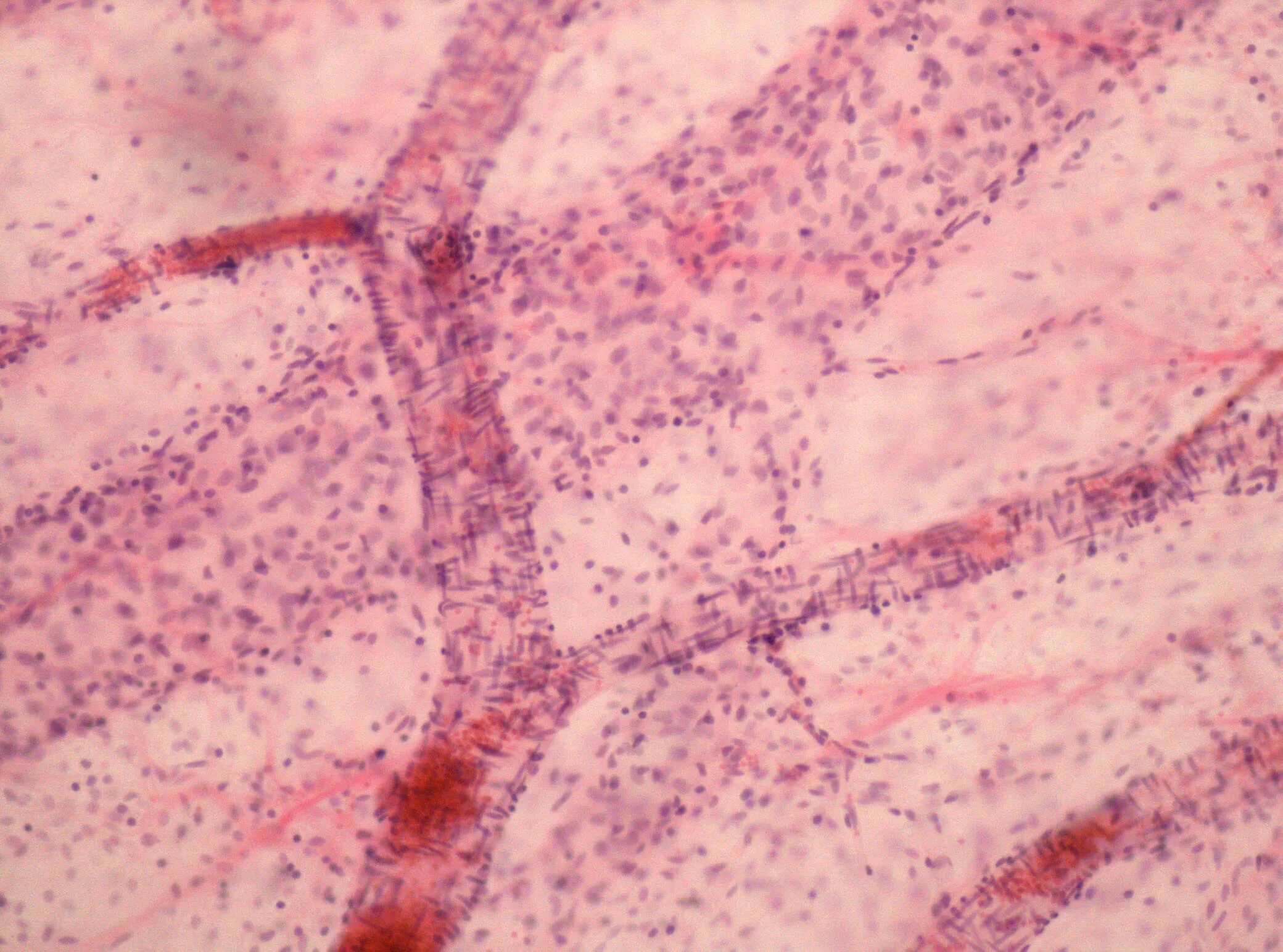
Венулы гистология