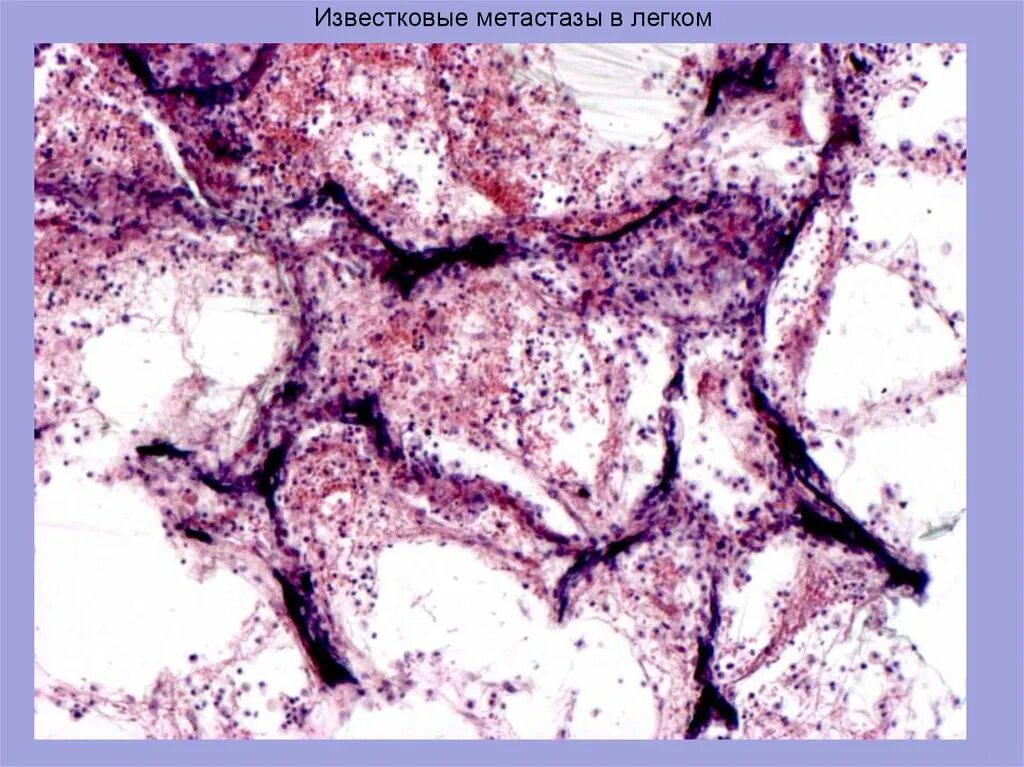
Вероятность метастаз